Skip to main content
Home
Menu

Search Cooper


Popular Terms and Topics

  • Internal Medicine Residency
  • Surgical Critical Care Fellowship
  • Gastroenterology Fellowship
  • Neurology Residency
  • Cooper Research
Breadcrumb
Home  /   Med Ed Blogs
EM Daily

Critical Cases - Locked knee!

July 21 2020
HPI: 23 y.o. male with acute left knee pain. Patient reports
Connect the Docs

Cooper Rewards

July 20 2020
Everyone at Cooper has worked incredibly hard through the
Back to Basics:  The Slit Lamp Exam
EM Daily

Back to Basics: The Slit Lamp Exam

July 20 2020
Back to Basics: The Slit Lamp Exam Last week, we covered the
Board Review: In from one END out the OTHER
EM Daily

Board Review: In from one END out the OTHER

July 18 2020
A 60 yo female with a history of DM and HTN presents to the
Nephron vs. Neuron: Diagnosis and management of diabetes insipidus in the critically ill
EM Daily

Nephron vs. Neuron: Diagnosis and management of diabetes insipidus in the critically ill

July 17 2020
A 50-year-old man with no significant medical history was
What's the diagnosis?  By Dr. Sydney Tabaac
EM Daily

What's the diagnosis? By Dr. Sydney Tabaac

July 15 2020
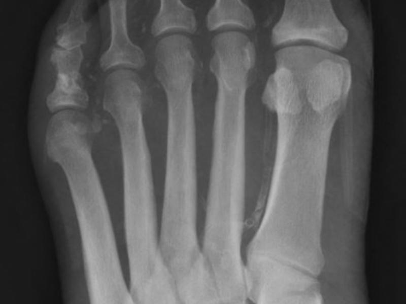
A 65 yo male PMH HTN, HLD presents with left foot pain and
EM Daily

Critical Cases: Tips for a Perfect Reduction

July 14 2020
Photo Credit
Back to Basics: Slit Lamp 101
EM Daily

Back to Basics: Slit Lamp 101

July 13 2020
Back to Basics: Slit Lamp 101 Do you avoid the slit lamp at
Board Review: In from one END out the OTHER
EM Daily

Board Review: In from one END out the OTHER

July 11 2020
A 55 year old male with a history of cirrhosis and HTN
Connect the Docs

Online Implicit bias test from Harvard

July 10 2020
Everyone has some bias and it is incumbent on all of us to
  • First page
  • Previous page
  • …
  • Page 102
  • Page 103
  • Current page 104
  • Page 105
  • Page 106
  • …
  • Next page
  • Last page
Blogs

Hospital Main Number

856.342.2000

Main Hospital Website

COOPERHEALTH.ORG

Cooper Health

Programs

  • Residencies
  • Fellowships
  • Nursing Education
  • Allied Health
  • CME
  • Life Support Training

More from Cooper

  • Research
  • Resident Wellness
  • Medical School
  • Our Campus
  • Main Hospital
  • Privacy Statement
  • FastCommand

1.800.8.COOPER (1.800.826.6737)

Contact Us

Cooper University Health Care's Main Website

This website is for informational purposes only and not intended as medical advice or a substitute for a consultation with a professional healthcare provider.

All content © 2022 Cooper University Health Care.

Menu
Education Home
Health System Home
Search

Main Navigation

  • RESIDENCIES
  • FELLOWSHIPS
  • NURSING AT COOPER
  • RESEARCH
  • INNOVATION CENTER

Tired of Typing? Let's Talk.

Call 1.800.8.COOPER to speak with a Cooper representative who can answer your questions, schedule appointments and register you for classes, events and support groups.

Representatives are available Monday through Friday from 8 a.m. - 5 p.m. to assist you.

Enter your phone number below and we will connect you for free.