Skip to main content
Home
Menu

Search Cooper


Popular Terms and Topics

  • Internal Medicine Residency
  • Surgical Critical Care Fellowship
  • Gastroenterology Fellowship
  • Neurology Residency
  • Cooper Research
Breadcrumb
Home  /   Med Ed Blogs
Connect the Docs

CMSRU Story Slam 2/28

February 26 2020
This Friday, Feb. 28 from 12:00-1:30 p.m there will be a
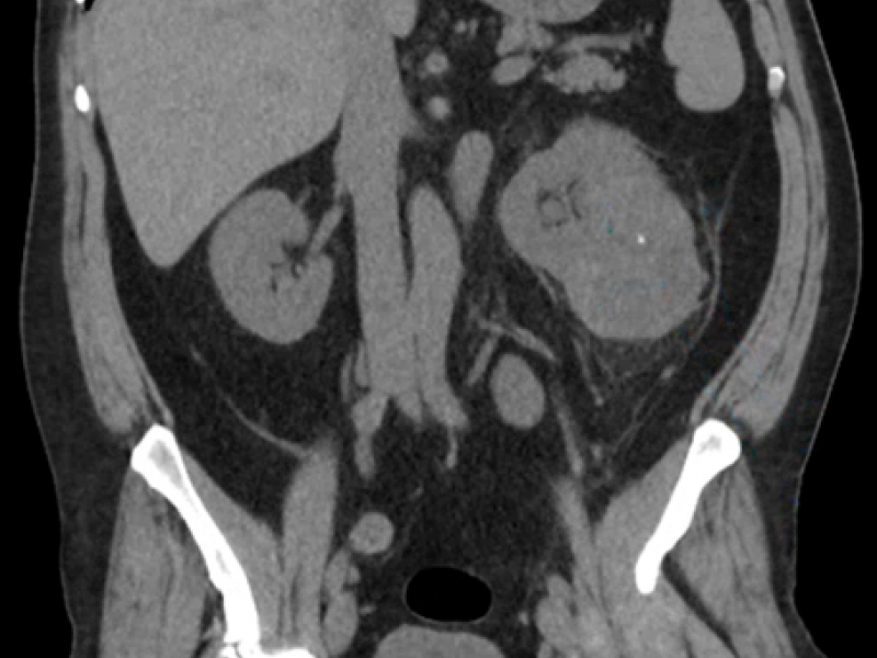
What's the Diagnosis? By Dr. Loran Hatch
EM Daily

What's the Diagnosis? By Dr. Loran Hatch

February 26 2020
40 yo M presents to ED complaining of L flank pain w/
Wrist dislocations
EM Daily

Wrist dislocations

February 24 2020
Perilunate dislocation Scaphoid fracture Triquetrum fracture
Feb 26 Schwartz Center Rounds on Wellness
Connect the Docs

Feb 26 Schwartz Center Rounds on Wellness

February 22 2020
Board Review: Lets get cerebral
EM Daily

Board Review: Lets get cerebral

February 22 2020
A 22-year-old male with a history of seizures arrives to the
Art and Hearts at This Week's Resident Wellness Event!
Life at the Coop

Art and Hearts at This Week's Resident Wellness Event!

February 21 2020
This week our residents enjoyed amazing food, a selfie
Connect the Docs

Physician survey results on lifestyle and happiness

February 21 2020
Medscape conducted a fascinating survey of about 15,000
EM Daily

POLST Discordant Care

February 21 2020
You are working at a community trauma center when an elderly
#EMConf: ECG review
EM Daily

#EMConf: ECG review

February 20 2020
References: Diercks DB, Hollander JE. Acute Coronary
Connect the Docs

CMSRU Story Slam

February 20 2020
In anticipation of ACP's Story Slam held annually at the
  • First page
  • Previous page
  • …
  • Page 116
  • Page 117
  • Current page 118
  • Page 119
  • Page 120
  • …
  • Next page
  • Last page
Blogs

Hospital Main Number

856.342.2000

Main Hospital Website

COOPERHEALTH.ORG

Cooper Health

Programs

  • Residencies
  • Fellowships
  • Nursing Education
  • Allied Health
  • CME
  • Life Support Training

More from Cooper

  • Research
  • Resident Wellness
  • Medical School
  • Our Campus
  • Main Hospital
  • Privacy Statement
  • FastCommand

1.800.8.COOPER (1.800.826.6737)

Contact Us

Cooper University Health Care's Main Website

This website is for informational purposes only and not intended as medical advice or a substitute for a consultation with a professional healthcare provider.

All content © 2022 Cooper University Health Care.

Menu
Education Home
Health System Home
Search

Main Navigation

  • RESIDENCIES
  • FELLOWSHIPS
  • NURSING AT COOPER
  • RESEARCH
  • INNOVATION CENTER

Tired of Typing? Let's Talk.

Call 1.800.8.COOPER to speak with a Cooper representative who can answer your questions, schedule appointments and register you for classes, events and support groups.

Representatives are available Monday through Friday from 8 a.m. - 5 p.m. to assist you.

Enter your phone number below and we will connect you for free.