Skip to main content
Home
Menu

Search Cooper


Popular Terms and Topics

  • Internal Medicine Residency
  • Surgical Critical Care Fellowship
  • Gastroenterology Fellowship
  • Neurology Residency
  • Cooper Research
Breadcrumb
Home  /   Med Ed Blogs
EM Daily

Status Epilepticus: Go-To-Meds

August 19 2019
EM Daily

Board Review: Summer Emergencies

August 17 2019
A 31-year-old 70-kg male is grilling at a BBQ when he
EM Daily

Board Review: Summer Emergencies

August 17 2019
A 31-year-old 70-kg male is grilling at a BBQ when he
Dialysis Disequilibrium Syndrome
EM Daily

Dialysis Disequilibrium Syndrome

August 16 2019
Case: A 63 y/o M with known ESRD presents to your emergency
Dialysis Disequilibrium Syndrome
EM Daily

Dialysis Disequilibrium Syndrome

August 16 2019
Case: A 63 y/o M with known ESRD presents to your emergency
#EMConf: The YEARS Algorithm
EM Daily

#EMConf: The YEARS Algorithm

August 15 2019
The YEARS Algorithm: A clinical decision tool that
#EMConf: The YEARS Algorithm
EM Daily

#EMConf: The YEARS Algorithm

August 15 2019
The YEARS Algorithm: A clinical decision tool that
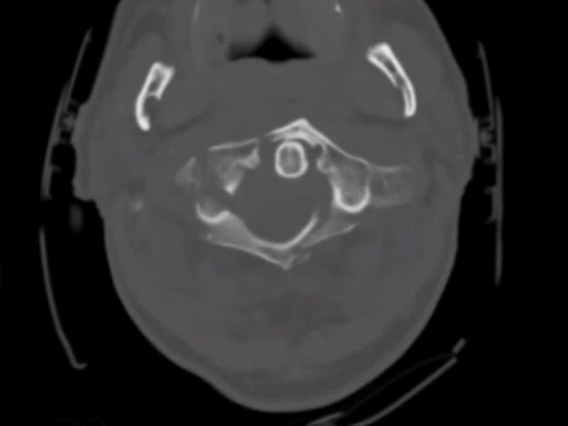
What's the diagnosis?  By Dr. Lynn Manganiello
EM Daily

What's the diagnosis? By Dr. Lynn Manganiello

August 14 2019
A 75 yo male presents with neck pain after rollover MVC. He
What's the diagnosis?  By Dr. Lynn Manganiello
EM Daily

What's the diagnosis? By Dr. Lynn Manganiello

August 14 2019
A 75 yo male presents with neck pain after rollover MVC. He
EM Daily

Critical Cases: Abdominal Cramping and Vaginal Bleeding

August 13 2019
HPI : 25 y/o Female, G3P2012, presenting with vaginal
  • First page
  • Previous page
  • …
  • Page 139
  • Page 140
  • Current page 141
  • Page 142
  • Page 143
  • …
  • Next page
  • Last page
Blogs

Hospital Main Number

856.342.2000

Main Hospital Website

COOPERHEALTH.ORG

Cooper Health

Programs

  • Residencies
  • Fellowships
  • Nursing Education
  • Allied Health
  • CME
  • Life Support Training

More from Cooper

  • Research
  • Resident Wellness
  • Medical School
  • Our Campus
  • Main Hospital
  • Privacy Statement
  • FastCommand

1.800.8.COOPER (1.800.826.6737)

Contact Us

Cooper University Health Care's Main Website

This website is for informational purposes only and not intended as medical advice or a substitute for a consultation with a professional healthcare provider.

All content © 2022 Cooper University Health Care.

Menu
Education Home
Health System Home
Search

Main Navigation

  • RESIDENCIES
  • FELLOWSHIPS
  • NURSING AT COOPER
  • RESEARCH
  • INNOVATION CENTER

Tired of Typing? Let's Talk.

Call 1.800.8.COOPER to speak with a Cooper representative who can answer your questions, schedule appointments and register you for classes, events and support groups.

Representatives are available Monday through Friday from 8 a.m. - 5 p.m. to assist you.

Enter your phone number below and we will connect you for free.