Skip to main content
Home
Menu

Search Cooper


Popular Terms and Topics

  • Internal Medicine Residency
  • Surgical Critical Care Fellowship
  • Gastroenterology Fellowship
  • Neurology Residency
  • Cooper Research
Breadcrumb
Home  /   Med Ed Blogs
What's the Diagnosis? By Dr. Michael Tom
EM Daily

What's the Diagnosis? By Dr. Michael Tom

April 24 2019
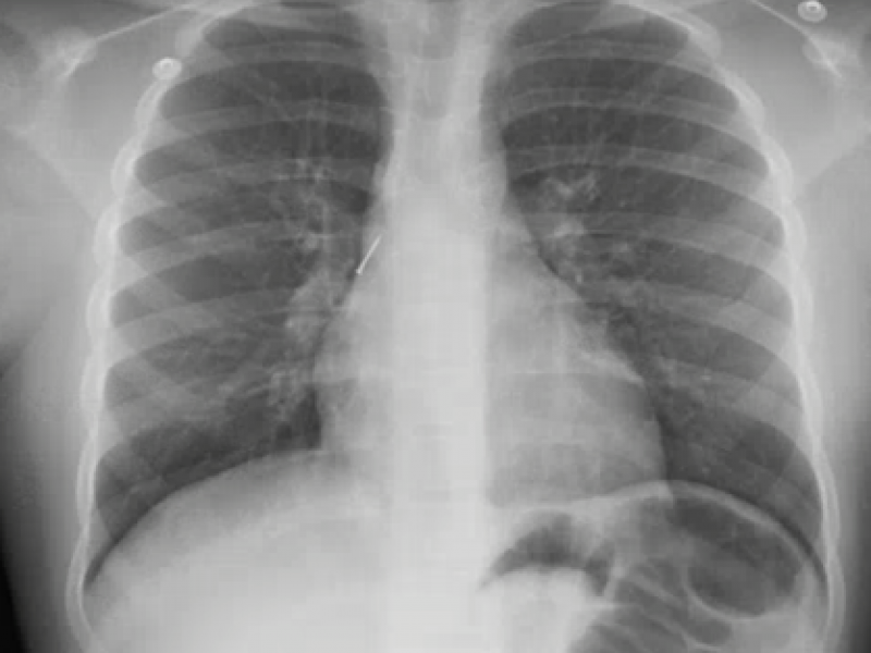
A 9 yo healthy F presents to the ED for coughing which
EM Daily

Back to Basics: Ultraviolet Keratitis

April 22 2019
Ultraviolet keratitis What is it? Injury to corneal
EM Daily

Back to Basics: Ultraviolet Keratitis

April 22 2019
Ultraviolet keratitis What is it? Injury to corneal
Board Review: Orthopedics
EM Daily

Board Review: Orthopedics

April 20 2019
A 24 year old male presents to your emergency department
Board Review: Orthopedics
EM Daily

Board Review: Orthopedics

April 20 2019
A 24 year old male presents to your emergency department
Getting Our Kicks Through Resident Wellness
Life at the Coop

Getting Our Kicks Through Resident Wellness

April 19 2019
Earlier this month, the GME Wellness Committee had its first
What's the diagnosis?  By Dr. Erica Schramm
EM Daily

What's the diagnosis? By Dr. Erica Schramm

April 17 2019
A 55 yo female with a high BMI presents with left fifth toe
What's the diagnosis?  By Dr. Erica Schramm
EM Daily

What's the diagnosis? By Dr. Erica Schramm

April 17 2019
A 55 yo female with a high BMI presents with left fifth toe
What's the Diagnosis? By Dr. Lesley Walinchus-Foster
EM Daily

What's the Diagnosis? By Dr. Lesley Walinchus-Foster

April 10 2019
A 4 yo M presents to the ED with R wrist pain after a fall
What's the Diagnosis? By Dr. Lesley Walinchus-Foster
EM Daily

What's the Diagnosis? By Dr. Lesley Walinchus-Foster

April 10 2019
A 4 yo M presents to the ED with R wrist pain after a fall
  • First page
  • Previous page
  • …
  • Page 145
  • Page 146
  • Current page 147
  • Page 148
  • Page 149
  • …
  • Next page
  • Last page
Blogs

Hospital Main Number

856.342.2000

Main Hospital Website

COOPERHEALTH.ORG

Cooper Health

Programs

  • Residencies
  • Fellowships
  • Nursing Education
  • Allied Health
  • CME
  • Life Support Training

More from Cooper

  • Research
  • Resident Wellness
  • Medical School
  • Our Campus
  • Main Hospital
  • Privacy Statement
  • FastCommand

1.800.8.COOPER (1.800.826.6737)

Contact Us

Cooper University Health Care's Main Website

This website is for informational purposes only and not intended as medical advice or a substitute for a consultation with a professional healthcare provider.

All content © 2022 Cooper University Health Care.

Menu
Education Home
Health System Home
Search

Main Navigation

  • RESIDENCIES
  • FELLOWSHIPS
  • NURSING AT COOPER
  • RESEARCH
  • INNOVATION CENTER

Tired of Typing? Let's Talk.

Call 1.800.8.COOPER to speak with a Cooper representative who can answer your questions, schedule appointments and register you for classes, events and support groups.

Representatives are available Monday through Friday from 8 a.m. - 5 p.m. to assist you.

Enter your phone number below and we will connect you for free.