Skip to main content
Home
Menu

Search Cooper


Popular Terms and Topics

  • Internal Medicine Residency
  • Surgical Critical Care Fellowship
  • Gastroenterology Fellowship
  • Neurology Residency
  • Cooper Research
Breadcrumb
Home  /   Med Ed Blogs
Advanced Cases - Complications of IBD!
EM Daily

Advanced Cases - Complications of IBD!

February 13 2024
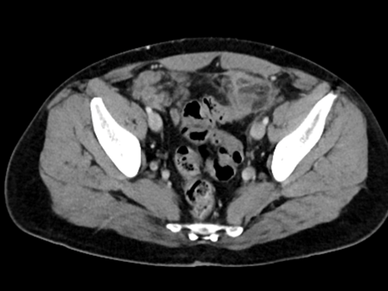
Allison Cash M.D. HPI 42 year old male with history of Crohn
Back to Basics: Aortic Stenosis
EM Daily

Back to Basics: Aortic Stenosis

February 12 2024
EM Daily

Board Review by Dr. Edward Guo (Edited by Dr. Parikh)

February 09 2024
A 30 year old male with a history of cardiac arrest with
ROBERT J. EMERY, MD - RESIDENT OF THE QUARTER - 4TH
Life at the Coop

ROBERT J. EMERY, MD - RESIDENT OF THE QUARTER - 4TH

February 08 2024
Congratulations to our Resident of the Quarter, Robert J
Conference Content by PGY-2, Dr. Erica Westlake
EM Daily

Conference Content by PGY-2, Dr. Erica Westlake

February 08 2024
EM Daily

What's the Diagnosis? By Dr. Edward Guo

February 07 2024
A 27 year old male presents for a right shoulder injury. He
Critical Cases - Central Vertigo!
EM Daily

Critical Cases - Central Vertigo!

February 06 2024
Author: Jordan Spaude M.D.
Types of Necrotizing Skin Infections with Dr. Erica Westlake
EM Daily

Types of Necrotizing Skin Infections with Dr. Erica Westlake

February 05 2024
EM Daily

Board Review by Dr. Guo (Edited by Dr. Parikh)

February 02 2024
A 40 year old female with a history of kidney stones with a
Critically Appraised Topic by  Dr. Erica Westlake and Dr. Jordan Spaude
EM Daily

Critically Appraised Topic by Dr. Erica Westlake and Dr. Jordan Spaude

February 01 2024
  • First page
  • Previous page
  • …
  • Page 14
  • Page 15
  • Current page 16
  • Page 17
  • Page 18
  • …
  • Next page
  • Last page
Blogs

Hospital Main Number

856.342.2000

Main Hospital Website

COOPERHEALTH.ORG

Cooper Health

Programs

  • Residencies
  • Fellowships
  • Nursing Education
  • Allied Health
  • CME
  • Life Support Training

More from Cooper

  • Research
  • Resident Wellness
  • Medical School
  • Our Campus
  • Main Hospital
  • Privacy Statement
  • FastCommand

1.800.8.COOPER (1.800.826.6737)

Contact Us

Cooper University Health Care's Main Website

This website is for informational purposes only and not intended as medical advice or a substitute for a consultation with a professional healthcare provider.

All content © 2022 Cooper University Health Care.

Menu
Education Home
Health System Home
Search

Main Navigation

  • RESIDENCIES
  • FELLOWSHIPS
  • NURSING AT COOPER
  • RESEARCH
  • INNOVATION CENTER

Tired of Typing? Let's Talk.

Call 1.800.8.COOPER to speak with a Cooper representative who can answer your questions, schedule appointments and register you for classes, events and support groups.

Representatives are available Monday through Friday from 8 a.m. - 5 p.m. to assist you.

Enter your phone number below and we will connect you for free.