Skip to main content
Home
Menu

Search Cooper


Popular Terms and Topics

  • Internal Medicine Residency
  • Surgical Critical Care Fellowship
  • Gastroenterology Fellowship
  • Neurology Residency
  • Cooper Research
Breadcrumb
Home  /   Med Ed Blogs
EM Daily

Board Review: Pediatrics

March 10 2018
A 6 week old full term male with normal birth history, mom
EM Daily

#EMconf: Thyroid Storm Treatment

March 08 2018
Management of Thyroid Storm • Supportive Measures: o Cooling
EM Daily

#EMconf: Thyroid Storm Treatment

March 08 2018
Management of Thyroid Storm • Supportive Measures: o Cooling
What's the Diagnosis? By Dr. Erica Schramm
EM Daily

What's the Diagnosis? By Dr. Erica Schramm

March 07 2018
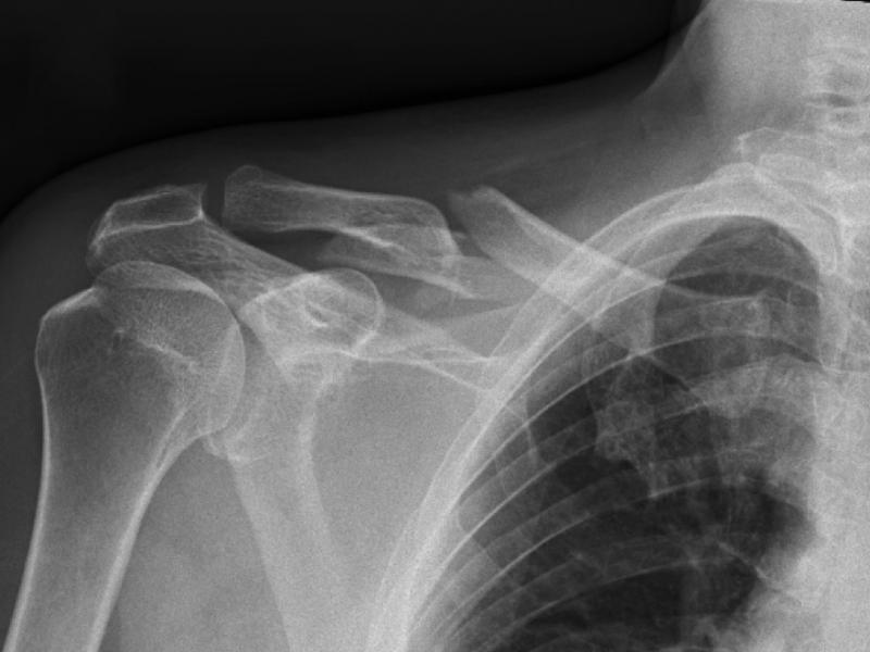
A 60 yo male slipped on ice and fell onto his right shoulder
What's the Diagnosis? By Dr. Erica Schramm
EM Daily

What's the Diagnosis? By Dr. Erica Schramm

March 07 2018
A 60 yo male slipped on ice and fell onto his right shoulder
Advanced Practice: Balanced Electrolyte Soluton vs Normal Saline in the Critically Ill
EM Daily

Advanced Practice: Balanced Electrolyte Soluton vs Normal Saline in the Critically Ill

March 06 2018
Background It is unknown whether resuscitation with normal
Advanced Practice: Balanced Electrolyte Soluton vs Normal Saline in the Critically Ill
EM Daily

Advanced Practice: Balanced Electrolyte Soluton vs Normal Saline in the Critically Ill

March 06 2018
Background It is unknown whether resuscitation with normal
EM Daily

Back to Basics: Globe Rupture

March 05 2018
Globe Rupture Vision threatening emergency Blunt or
EM Daily

Back to Basics: Globe Rupture

March 05 2018
Globe Rupture Vision threatening emergency Blunt or
EM Daily

Week in Review: Feb 26th - March 3rd

March 04 2018
Monday: Back to Basics - Bili Checks Make sure to know the
  • First page
  • Previous page
  • …
  • Page 207
  • Page 208
  • Current page 209
  • Page 210
  • Page 211
  • …
  • Next page
  • Last page
Blogs

Hospital Main Number

856.342.2000

Main Hospital Website

COOPERHEALTH.ORG

Cooper Health

Programs

  • Residencies
  • Fellowships
  • Nursing Education
  • Allied Health
  • CME
  • Life Support Training

More from Cooper

  • Research
  • Resident Wellness
  • Medical School
  • Our Campus
  • Main Hospital
  • Privacy Statement
  • FastCommand

1.800.8.COOPER (1.800.826.6737)

Contact Us

Cooper University Health Care's Main Website

This website is for informational purposes only and not intended as medical advice or a substitute for a consultation with a professional healthcare provider.

All content © 2022 Cooper University Health Care.

Menu
Education Home
Health System Home
Search

Main Navigation

  • RESIDENCIES
  • FELLOWSHIPS
  • NURSING AT COOPER
  • RESEARCH
  • INNOVATION CENTER

Tired of Typing? Let's Talk.

Call 1.800.8.COOPER to speak with a Cooper representative who can answer your questions, schedule appointments and register you for classes, events and support groups.

Representatives are available Monday through Friday from 8 a.m. - 5 p.m. to assist you.

Enter your phone number below and we will connect you for free.