Skip to main content
Home
Menu

Search Cooper


Popular Terms and Topics

  • Internal Medicine Residency
  • Surgical Critical Care Fellowship
  • Gastroenterology Fellowship
  • Neurology Residency
  • Cooper Research
Breadcrumb
Home  /   Med Ed Blogs
EM Daily

#EMconf #FlyEaglesFly: FFP for ACE-I induced angioedema

February 08 2018
Clinical Question: Does fresh frozen plasma (FFP) reduce
EM Daily

#EMconf #FlyEaglesFly: FFP for ACE-I induced angioedema

February 08 2018
Clinical Question: Does fresh frozen plasma (FFP) reduce
What's the Diagnosis? By Dr. Sarab Sodhi
EM Daily

What's the Diagnosis? By Dr. Sarab Sodhi

February 07 2018
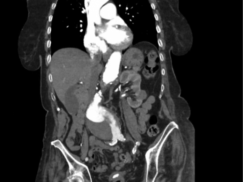
An 84 yo female presents with days of progressive right
What's the Diagnosis? By Dr. Sarab Sodhi
EM Daily

What's the Diagnosis? By Dr. Sarab Sodhi

February 07 2018
An 84 yo female presents with days of progressive right
EM Daily

Advanced Practice: Anti-NMDA Receptor Encephalitis

February 06 2018
Pathogenesis → antibodies against NMDA receptor Epidemiology
EM Daily

Advanced Practice: Anti-NMDA Receptor Encephalitis

February 06 2018
Pathogenesis → antibodies against NMDA receptor Epidemiology
Inaugural Cooper APP Happy Hour 3/1/2018
Connect the Docs

Inaugural Cooper APP Happy Hour 3/1/2018

February 05 2018
EM Daily

Back to Basics: Bronchiolitis

February 05 2018
Micro: RSV most common cause, highly contagious via
EM Daily

Back to Basics: Bronchiolitis

February 05 2018
Micro: RSV most common cause, highly contagious via
PEA? Think Narrow vs Wide
EM Daily

PEA? Think Narrow vs Wide

February 02 2018
  • First page
  • Previous page
  • …
  • Page 213
  • Page 214
  • Current page 215
  • Page 216
  • Page 217
  • …
  • Next page
  • Last page
Blogs

Hospital Main Number

856.342.2000

Main Hospital Website

COOPERHEALTH.ORG

Cooper Health

Programs

  • Residencies
  • Fellowships
  • Nursing Education
  • Allied Health
  • CME
  • Life Support Training

More from Cooper

  • Research
  • Resident Wellness
  • Medical School
  • Our Campus
  • Main Hospital
  • Privacy Statement
  • FastCommand

1.800.8.COOPER (1.800.826.6737)

Contact Us

Cooper University Health Care's Main Website

This website is for informational purposes only and not intended as medical advice or a substitute for a consultation with a professional healthcare provider.

All content © 2022 Cooper University Health Care.

Menu
Education Home
Health System Home
Search

Main Navigation

  • RESIDENCIES
  • FELLOWSHIPS
  • NURSING AT COOPER
  • RESEARCH
  • INNOVATION CENTER

Tired of Typing? Let's Talk.

Call 1.800.8.COOPER to speak with a Cooper representative who can answer your questions, schedule appointments and register you for classes, events and support groups.

Representatives are available Monday through Friday from 8 a.m. - 5 p.m. to assist you.

Enter your phone number below and we will connect you for free.