Skip to main content
Home
Menu

Search Cooper


Popular Terms and Topics

  • Internal Medicine Residency
  • Surgical Critical Care Fellowship
  • Gastroenterology Fellowship
  • Neurology Residency
  • Cooper Research
Breadcrumb
Home  /   Med Ed Blogs
What's the Diagnosis? By Dr. Michael Tom
EM Daily

What's the Diagnosis? By Dr. Michael Tom

January 24 2018
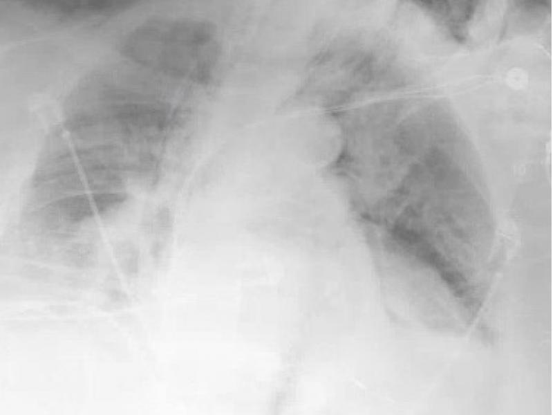
A 71 yo male with a history of esophageal varices c/o severe
What's the Diagnosis? By Dr. Michael Tom
EM Daily

What's the Diagnosis? By Dr. Michael Tom

January 24 2018
A 71 yo male with a history of esophageal varices c/o severe
Life at the Coop

The Cooper Foundation Receives $982,000 Grant for Cooper Urban Health Institute Project Targeted at Reducing Disparities in Cardiovascular Care in Vulnerable Populations

January 22 2018
The Cooper Foundation has received a $982,000 grant from the
EM Daily

Back to Basics: Food Impaction

January 22 2018
While it is obvious that sharp objects and corrosive
EM Daily

Back to Basics: Food Impaction

January 22 2018
While it is obvious that sharp objects and corrosive
EM Daily

Board Review: Carbon Monoxide Poisoning

January 20 2018
Carbon Monoxide Poisoning 33 year old healthy female
EM Daily

Board Review: Carbon Monoxide Poisoning

January 20 2018
Carbon Monoxide Poisoning 33 year old healthy female
EM Daily

Blunt Cardiac Injury

January 20 2018
Blunt Cardiac Injury Screening for blunt cardiac injury in
EM Daily

Blunt Cardiac Injury

January 20 2018
Blunt Cardiac Injury Screening for blunt cardiac injury in
Connect the Docs

CGCAHPS 4Q2017 Physician and APP Positive Comments

January 18 2018
Kudos to our Providers and their hard work Click on the link
  • First page
  • Previous page
  • …
  • Page 216
  • Page 217
  • Current page 218
  • Page 219
  • Page 220
  • …
  • Next page
  • Last page
Blogs

Hospital Main Number

856.342.2000

Main Hospital Website

COOPERHEALTH.ORG

Cooper Health

Programs

  • Residencies
  • Fellowships
  • Nursing Education
  • Allied Health
  • CME
  • Life Support Training

More from Cooper

  • Research
  • Resident Wellness
  • Medical School
  • Our Campus
  • Main Hospital
  • Privacy Statement
  • FastCommand

1.800.8.COOPER (1.800.826.6737)

Contact Us

Cooper University Health Care's Main Website

This website is for informational purposes only and not intended as medical advice or a substitute for a consultation with a professional healthcare provider.

All content © 2022 Cooper University Health Care.

Menu
Education Home
Health System Home
Search

Main Navigation

  • RESIDENCIES
  • FELLOWSHIPS
  • NURSING AT COOPER
  • RESEARCH
  • INNOVATION CENTER

Tired of Typing? Let's Talk.

Call 1.800.8.COOPER to speak with a Cooper representative who can answer your questions, schedule appointments and register you for classes, events and support groups.

Representatives are available Monday through Friday from 8 a.m. - 5 p.m. to assist you.

Enter your phone number below and we will connect you for free.