Skip to main content
Home
Menu

Search Cooper


Popular Terms and Topics

  • Internal Medicine Residency
  • Surgical Critical Care Fellowship
  • Gastroenterology Fellowship
  • Neurology Residency
  • Cooper Research
Breadcrumb
Home  /   Med Ed Blogs
EM Daily

No time for high fives…the initial management of mechanically ventilated patients matters! By Dr. Lou Argentine

December 01 2017
You've just successfully intubated a critically ill patient
EM Daily

No time for high fives…the initial management of mechanically ventilated patients matters! By Dr. Lou Argentine

December 01 2017
You've just successfully intubated a critically ill patient
Connect the Docs

Cooper Standards of the Month

December 01 2017
November- Duration December- Non-verbal Communication
Connect the Docs

Patient Experience Workshops 2018

December 01 2017
Please see the dates for the quarterly patient experience
EM Daily

#EMconf: Perimortem C-Section

November 30 2017
Perimortem/Emergency Cesarean Section: When to Perform? -
EM Daily

#EMconf: Perimortem C-Section

November 30 2017
Perimortem/Emergency Cesarean Section: When to Perform? -
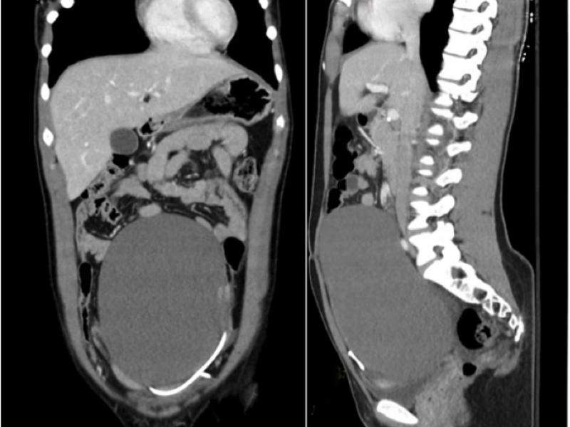
What's the Diagnosis? By Dr. Lauren Murphy
EM Daily

What's the Diagnosis? By Dr. Lauren Murphy

November 29 2017
A 25 yo female presents with abdominal pain and associated
What's the Diagnosis? By Dr. Lauren Murphy
EM Daily

What's the Diagnosis? By Dr. Lauren Murphy

November 29 2017
A 25 yo female presents with abdominal pain and associated
Advanced Practice - "Ow, my ear hurts!" Ramsay Hunt Syndrome
EM Daily

Advanced Practice - "Ow, my ear hurts!" Ramsay Hunt Syndrome

November 28 2017
Etiology • Reactivation of varicella zoster virus in the
Advanced Practice - "Ow, my ear hurts!" Ramsay Hunt Syndrome
EM Daily

Advanced Practice - "Ow, my ear hurts!" Ramsay Hunt Syndrome

November 28 2017
Etiology • Reactivation of varicella zoster virus in the
  • First page
  • Previous page
  • …
  • Page 226
  • Page 227
  • Current page 228
  • Page 229
  • Page 230
  • …
  • Next page
  • Last page
Blogs

Hospital Main Number

856.342.2000

Main Hospital Website

COOPERHEALTH.ORG

Cooper Health

Programs

  • Residencies
  • Fellowships
  • Nursing Education
  • Allied Health
  • CME
  • Life Support Training

More from Cooper

  • Research
  • Resident Wellness
  • Medical School
  • Our Campus
  • Main Hospital
  • Privacy Statement
  • FastCommand

1.800.8.COOPER (1.800.826.6737)

Contact Us

Cooper University Health Care's Main Website

This website is for informational purposes only and not intended as medical advice or a substitute for a consultation with a professional healthcare provider.

All content © 2022 Cooper University Health Care.

Menu
Education Home
Health System Home
Search

Main Navigation

  • RESIDENCIES
  • FELLOWSHIPS
  • NURSING AT COOPER
  • RESEARCH
  • INNOVATION CENTER

Tired of Typing? Let's Talk.

Call 1.800.8.COOPER to speak with a Cooper representative who can answer your questions, schedule appointments and register you for classes, events and support groups.

Representatives are available Monday through Friday from 8 a.m. - 5 p.m. to assist you.

Enter your phone number below and we will connect you for free.