Skip to main content
Home
Menu

Search Cooper


Popular Terms and Topics

  • Internal Medicine Residency
  • Surgical Critical Care Fellowship
  • Gastroenterology Fellowship
  • Neurology Residency
  • Cooper Research
Breadcrumb
Home  /   Med Ed Blogs
EM Daily

Board Review: Sickle Cell Complications

October 21 2017
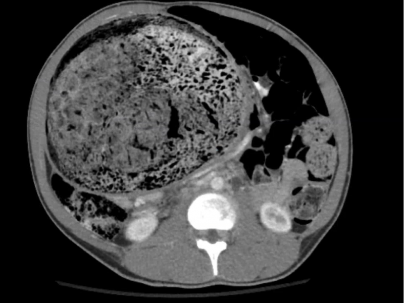
A 19 year old female with a history of sickle cell disease
What's the Diagnosis (Critical Care Edition) By. Dr. Kim Chavez
EM Daily

What's the Diagnosis (Critical Care Edition) By. Dr. Kim Chavez

October 20 2017
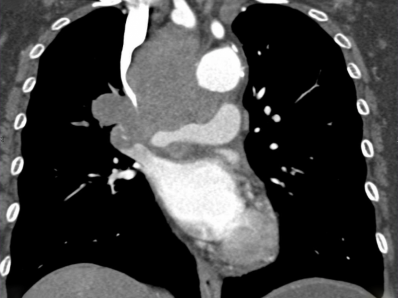
Patient presents with neck and facial swelling and is
What's the Diagnosis (Critical Care Edition) By. Dr. Kim Chavez
EM Daily

What's the Diagnosis (Critical Care Edition) By. Dr. Kim Chavez

October 20 2017
Patient presents with neck and facial swelling and is
Connect the Docs

“CGCAHPS Provider Data Education” presented by Dr. Stephen Trzeciak

October 19 2017
Please watch the attached PowerPoint video for an in-depth
Connect the Docs

POLICYMAP Workshop – October 24, 2017

October 19 2017
POLICYMAP Workshop - October 24, 2017 3 SESSIONS AVAILABLE -
EM Daily

#EMconf: Discharging Afib patients

October 19 2017
Step 1 : Confirm 48 hour onset or on effective
EM Daily

#EMconf: Discharging Afib patients

October 19 2017
Step 1 : Confirm 48 hour onset or on effective
Ambulatory Encounter Closure by Licensed Residents / Fellows
Connect the Docs

Ambulatory Encounter Closure by Licensed Residents / Fellows

October 18 2017
Starting October 18th, 2017, if a licensed resident or
What's the Diagnosis? By Sarab Sodhi
EM Daily

What's the Diagnosis? By Sarab Sodhi

October 18 2017
A 22 yo male with a history of Asperger syndrome and chronic
What's the Diagnosis? By Sarab Sodhi
EM Daily

What's the Diagnosis? By Sarab Sodhi

October 18 2017
A 22 yo male with a history of Asperger syndrome and chronic
  • First page
  • Previous page
  • …
  • Page 234
  • Page 235
  • Current page 236
  • Page 237
  • Page 238
  • …
  • Next page
  • Last page
Blogs

Hospital Main Number

856.342.2000

Main Hospital Website

COOPERHEALTH.ORG

Cooper Health

Programs

  • Residencies
  • Fellowships
  • Nursing Education
  • Allied Health
  • CME
  • Life Support Training

More from Cooper

  • Research
  • Resident Wellness
  • Medical School
  • Our Campus
  • Main Hospital
  • Privacy Statement
  • FastCommand

1.800.8.COOPER (1.800.826.6737)

Contact Us

Cooper University Health Care's Main Website

This website is for informational purposes only and not intended as medical advice or a substitute for a consultation with a professional healthcare provider.

All content © 2022 Cooper University Health Care.

Menu
Education Home
Health System Home
Search

Main Navigation

  • RESIDENCIES
  • FELLOWSHIPS
  • NURSING AT COOPER
  • RESEARCH
  • INNOVATION CENTER

Tired of Typing? Let's Talk.

Call 1.800.8.COOPER to speak with a Cooper representative who can answer your questions, schedule appointments and register you for classes, events and support groups.

Representatives are available Monday through Friday from 8 a.m. - 5 p.m. to assist you.

Enter your phone number below and we will connect you for free.