Skip to main content
Home
Menu

Search Cooper


Popular Terms and Topics

  • Internal Medicine Residency
  • Surgical Critical Care Fellowship
  • Gastroenterology Fellowship
  • Neurology Residency
  • Cooper Research
Breadcrumb
Home  /   Med Ed Blogs
Connect the Docs

Congratulations to Diana Filipek, MSN, APN!!!

August 31 2017
Congratulations to Diana Filipek, MSN, APN, who was chosen
Connect the Docs

Faculty Development Opportunities 2017

August 30 2017
September 7, 2017 Amy Wilson Delfosse, Away with lectures
What's the Diagnosis?  By Dr. Michael Tom
EM Daily

What's the Diagnosis? By Dr. Michael Tom

August 30 2017
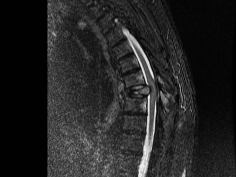
A 63 you male presents with back pain and lower extremity
What's the Diagnosis?  By Dr. Michael Tom
EM Daily

What's the Diagnosis? By Dr. Michael Tom

August 30 2017
A 63 you male presents with back pain and lower extremity
EM Daily

Advanced Practice: Marine Poisoning

August 29 2017
30 y.o female presents feeling warm and flushed, followed by
EM Daily

Advanced Practice: Marine Poisoning

August 29 2017
30 y.o female presents feeling warm and flushed, followed by
EM Daily

Back to Basics: Pediatric Chest Pain

August 28 2017
Pediatric Chest Pain: Epidemiology: Mostly no identifable
EM Daily

Back to Basics: Pediatric Chest Pain

August 28 2017
Pediatric Chest Pain: Epidemiology: Mostly no identifable
A Week in Review: Aug 20-24th
EM Daily

A Week in Review: Aug 20-24th

August 27 2017
Monday: Back to Basics - Methhemglobinemia Presentation
A Week in Review: Aug 20-24th
EM Daily

A Week in Review: Aug 20-24th

August 27 2017
Monday: Back to Basics - Methhemglobinemia Presentation
  • First page
  • Previous page
  • …
  • Page 245
  • Page 246
  • Current page 247
  • Page 248
  • Page 249
  • …
  • Next page
  • Last page
Blogs

Hospital Main Number

856.342.2000

Main Hospital Website

COOPERHEALTH.ORG

Cooper Health

Programs

  • Residencies
  • Fellowships
  • Nursing Education
  • Allied Health
  • CME
  • Life Support Training

More from Cooper

  • Research
  • Resident Wellness
  • Medical School
  • Our Campus
  • Main Hospital
  • Privacy Statement
  • FastCommand

1.800.8.COOPER (1.800.826.6737)

Contact Us

Cooper University Health Care's Main Website

This website is for informational purposes only and not intended as medical advice or a substitute for a consultation with a professional healthcare provider.

All content © 2022 Cooper University Health Care.

Menu
Education Home
Health System Home
Search

Main Navigation

  • RESIDENCIES
  • FELLOWSHIPS
  • NURSING AT COOPER
  • RESEARCH
  • INNOVATION CENTER

Tired of Typing? Let's Talk.

Call 1.800.8.COOPER to speak with a Cooper representative who can answer your questions, schedule appointments and register you for classes, events and support groups.

Representatives are available Monday through Friday from 8 a.m. - 5 p.m. to assist you.

Enter your phone number below and we will connect you for free.