Skip to main content
Home
Menu

Search Cooper


Popular Terms and Topics

  • Internal Medicine Residency
  • Surgical Critical Care Fellowship
  • Gastroenterology Fellowship
  • Neurology Residency
  • Cooper Research
Breadcrumb
Home  /   Med Ed Blogs
EM Daily

Oral Board Simulation Case Preparation

April 29 2017
In the spirit of CORD 2017 which just passed, check out this
EM Daily

Pearls for the Management of Cerebellar Hemorrhage by Dr. Matthew McMullan

April 28 2017
Emergency Department Management of Cerebellar Hemorrhage
EM Daily

Pearls for the Management of Cerebellar Hemorrhage by Dr. Matthew McMullan

April 28 2017
Emergency Department Management of Cerebellar Hemorrhage
EM Daily

#EMconf: Ocular Trauma Pearls

April 27 2017
Quick Guide to Ocular Trauma: Globe rupture suspected on
EM Daily

#EMconf: Ocular Trauma Pearls

April 27 2017
Quick Guide to Ocular Trauma: Globe rupture suspected on
What's the Diagnosis? By Joseph Cesarine
EM Daily

What's the Diagnosis? By Joseph Cesarine

April 26 2017
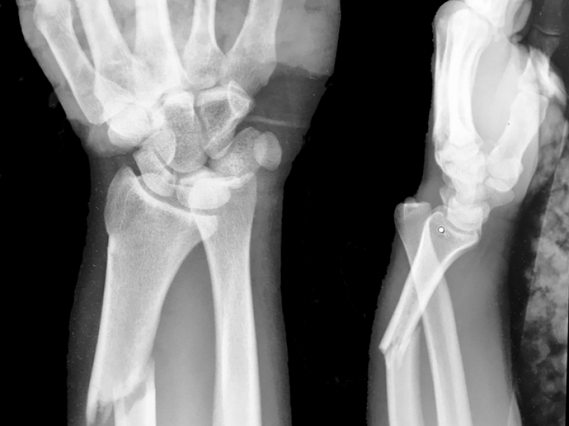
Patient fell on an outstretched hand and presents with arm
What's the Diagnosis? By Joseph Cesarine
EM Daily

What's the Diagnosis? By Joseph Cesarine

April 26 2017
Patient fell on an outstretched hand and presents with arm
Connect the Docs

PHYSICIAN POCKET CARDS FOR YOUR DOCUMENTATION NEEDS

April 25 2017
Please find attached below pocket cards that can be helpful
How to Drain a Felon
EM Daily

How to Drain a Felon

April 25 2017
A felon is an infection of the pulp space of a distal finger
How to Drain a Felon
EM Daily

How to Drain a Felon

April 25 2017
A felon is an infection of the pulp space of a distal finger
  • First page
  • Previous page
  • …
  • Page 269
  • Page 270
  • Current page 271
  • Page 272
  • Page 273
  • …
  • Next page
  • Last page
Blogs

Hospital Main Number

856.342.2000

Main Hospital Website

COOPERHEALTH.ORG

Cooper Health

Programs

  • Residencies
  • Fellowships
  • Nursing Education
  • Allied Health
  • CME
  • Life Support Training

More from Cooper

  • Research
  • Resident Wellness
  • Medical School
  • Our Campus
  • Main Hospital
  • Privacy Statement
  • FastCommand

1.800.8.COOPER (1.800.826.6737)

Contact Us

Cooper University Health Care's Main Website

This website is for informational purposes only and not intended as medical advice or a substitute for a consultation with a professional healthcare provider.

All content © 2022 Cooper University Health Care.

Menu
Education Home
Health System Home
Search

Main Navigation

  • RESIDENCIES
  • FELLOWSHIPS
  • NURSING AT COOPER
  • RESEARCH
  • INNOVATION CENTER

Tired of Typing? Let's Talk.

Call 1.800.8.COOPER to speak with a Cooper representative who can answer your questions, schedule appointments and register you for classes, events and support groups.

Representatives are available Monday through Friday from 8 a.m. - 5 p.m. to assist you.

Enter your phone number below and we will connect you for free.