Skip to main content
Home
Menu

Search Cooper


Popular Terms and Topics

  • Internal Medicine Residency
  • Surgical Critical Care Fellowship
  • Gastroenterology Fellowship
  • Neurology Residency
  • Cooper Research
Breadcrumb
Home  /   Med Ed Blogs
A Week in Review: April 10 - April 14th
EM Daily

A Week in Review: April 10 - April 14th

April 16 2017
Monday: Back to Basics - Thrombolysis in Stroke Check this
The LOV-ED Trial by Michael Coletta
EM Daily

The LOV-ED Trial by Michael Coletta

April 14 2017
Lung Protective Ventilation Initiated in the ED (LOV-ED
The LOV-ED Trial by Michael Coletta
EM Daily

The LOV-ED Trial by Michael Coletta

April 14 2017
Lung Protective Ventilation Initiated in the ED (LOV-ED
EM Daily

#Emconf: Opioid Toxicities and Overdose Complications

April 13 2017
Specific Opioid Toxicities and Overdose Complications
EM Daily

#Emconf: Opioid Toxicities and Overdose Complications

April 13 2017
Specific Opioid Toxicities and Overdose Complications
What's the Diagnosis? By Lauren Murphy
EM Daily

What's the Diagnosis? By Lauren Murphy

April 12 2017
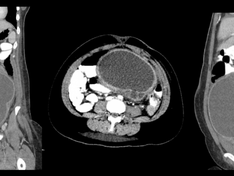
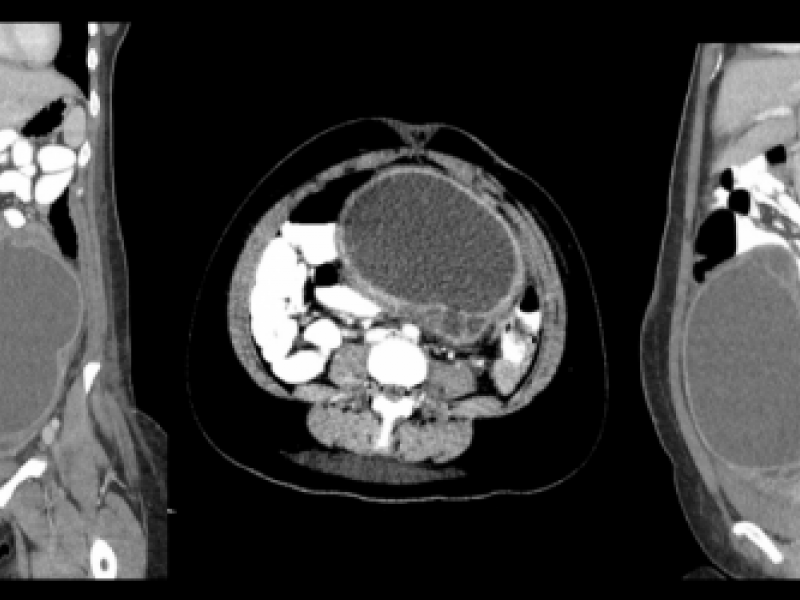
Answer : Tubo-Ovarian Abscess Radiology reported a large
What's the Diagnosis? By Lauren Murphy
EM Daily

What's the Diagnosis? By Lauren Murphy

April 12 2017
Answer : Tubo-Ovarian Abscess Radiology reported a large
EM Daily

Intracellular Explosions: TUMOR LYSIS SYNDROME

April 11 2017
High risk malignancies for Tumor Lysis Syndrome include AML
EM Daily

Intracellular Explosions: TUMOR LYSIS SYNDROME

April 11 2017
High risk malignancies for Tumor Lysis Syndrome include AML
EM Daily

Thrombolysis in Acute Stroke

April 10 2017
Ever wonder where the the current American Heart Association
  • First page
  • Previous page
  • …
  • Page 272
  • Page 273
  • Current page 274
  • Page 275
  • Page 276
  • …
  • Next page
  • Last page
Blogs

Hospital Main Number

856.342.2000

Main Hospital Website

COOPERHEALTH.ORG

Cooper Health

Programs

  • Residencies
  • Fellowships
  • Nursing Education
  • Allied Health
  • CME
  • Life Support Training

More from Cooper

  • Research
  • Resident Wellness
  • Medical School
  • Our Campus
  • Main Hospital
  • Privacy Statement
  • FastCommand

1.800.8.COOPER (1.800.826.6737)

Contact Us

Cooper University Health Care's Main Website

This website is for informational purposes only and not intended as medical advice or a substitute for a consultation with a professional healthcare provider.

All content © 2022 Cooper University Health Care.

Menu
Education Home
Health System Home
Search

Main Navigation

  • RESIDENCIES
  • FELLOWSHIPS
  • NURSING AT COOPER
  • RESEARCH
  • INNOVATION CENTER

Tired of Typing? Let's Talk.

Call 1.800.8.COOPER to speak with a Cooper representative who can answer your questions, schedule appointments and register you for classes, events and support groups.

Representatives are available Monday through Friday from 8 a.m. - 5 p.m. to assist you.

Enter your phone number below and we will connect you for free.