Skip to main content
Home
Menu

Search Cooper


Popular Terms and Topics

  • Internal Medicine Residency
  • Surgical Critical Care Fellowship
  • Gastroenterology Fellowship
  • Neurology Residency
  • Cooper Research
Breadcrumb
Home  /   Med Ed Blogs
A Week in Review: March 13th - 17th
EM Daily

A Week in Review: March 13th - 17th

March 19 2017
Monday: Back to Basics - NIPPV in Acute Cardiogenic Pulm
EM Daily

Should you Intubate with the Head of the Bed Elevated (HOB)?

March 17 2017
Data from the Anesthesia literature suggests greater first
EM Daily

Should you Intubate with the Head of the Bed Elevated (HOB)?

March 17 2017
Data from the Anesthesia literature suggests greater first
EM Daily

#EMconf: Do Trigger Point Injections Improve Musculoskeletal Pain?

March 16 2017
Clinical Question: Does Trigger Point Injection Improve a
EM Daily

#EMconf: Do Trigger Point Injections Improve Musculoskeletal Pain?

March 16 2017
Clinical Question: Does Trigger Point Injection Improve a
What's the Diagnosis? Case by Erica Schramm
EM Daily

What's the Diagnosis? Case by Erica Schramm

March 14 2017
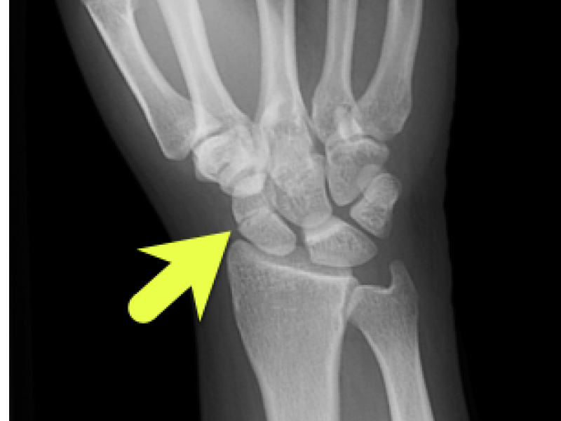
Answer: Non-displaced scaphoid waist fracture Scaphoid
What's the Diagnosis? Case by Erica Schramm
EM Daily

What's the Diagnosis? Case by Erica Schramm

March 14 2017
Answer: Non-displaced scaphoid waist fracture Scaphoid
EM Daily

Advanced Practice - Paracentesis-induced circulatory dysfunction (PICD)

March 14 2017
Paracentesis-induced circulatory dysfunction (PICD) Syndrome
EM Daily

Advanced Practice - Paracentesis-induced circulatory dysfunction (PICD)

March 14 2017
Paracentesis-induced circulatory dysfunction (PICD) Syndrome
EM Daily

NIPPV in Acute Cardiogenic Pulmonary Edema – CPAP or BiPAP?

March 13 2017
Pathophysiology of Acute Cardiogenic Pulmonary Edema (ACPE)
  • First page
  • Previous page
  • …
  • Page 277
  • Page 278
  • Current page 279
  • Page 280
  • Page 281
  • …
  • Next page
  • Last page
Blogs

Hospital Main Number

856.342.2000

Main Hospital Website

COOPERHEALTH.ORG

Cooper Health

Programs

  • Residencies
  • Fellowships
  • Nursing Education
  • Allied Health
  • CME
  • Life Support Training

More from Cooper

  • Research
  • Resident Wellness
  • Medical School
  • Our Campus
  • Main Hospital
  • Privacy Statement
  • FastCommand

1.800.8.COOPER (1.800.826.6737)

Contact Us

Cooper University Health Care's Main Website

This website is for informational purposes only and not intended as medical advice or a substitute for a consultation with a professional healthcare provider.

All content © 2022 Cooper University Health Care.

Menu
Education Home
Health System Home
Search

Main Navigation

  • RESIDENCIES
  • FELLOWSHIPS
  • NURSING AT COOPER
  • RESEARCH
  • INNOVATION CENTER

Tired of Typing? Let's Talk.

Call 1.800.8.COOPER to speak with a Cooper representative who can answer your questions, schedule appointments and register you for classes, events and support groups.

Representatives are available Monday through Friday from 8 a.m. - 5 p.m. to assist you.

Enter your phone number below and we will connect you for free.