Skip to main content
Home
Menu

Search Cooper


Popular Terms and Topics

  • Internal Medicine Residency
  • Surgical Critical Care Fellowship
  • Gastroenterology Fellowship
  • Neurology Residency
  • Cooper Research
Breadcrumb
Home  /   Med Ed Blogs
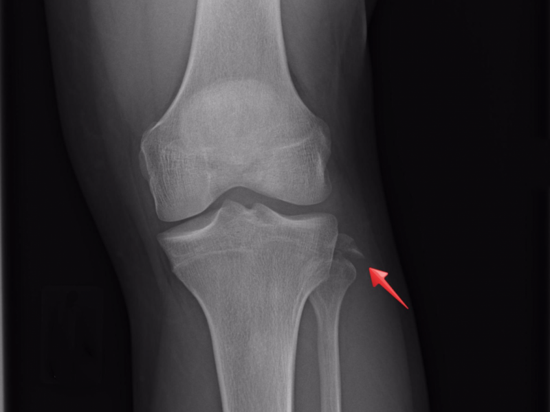
What's the Diagnosis? By Joseph Cesarine
EM Daily

What's the Diagnosis? By Joseph Cesarine

March 01 2017
Answer: Avulsion fracture of the fibular styloid process
Advanced ECG interpretation: Wellens' Warning!
EM Daily

Advanced ECG interpretation: Wellens' Warning!

February 28 2017
The ECG demonstrates symmetic T wave inversions in leads V1
Advanced ECG interpretation: Wellens' Warning!
EM Daily

Advanced ECG interpretation: Wellens' Warning!

February 28 2017
The ECG demonstrates symmetic T wave inversions in leads V1
EM Daily

Back to Basics: Fracture Terminology

February 27 2017
Using basic terminology, you should be able to describe any
EM Daily

Back to Basics: Fracture Terminology

February 27 2017
Using basic terminology, you should be able to describe any
A Week in Review: Feb 20th - Feb 24th
EM Daily

A Week in Review: Feb 20th - Feb 24th

February 26 2017
Monday: Back to Basics - Baby, It's Cold Outside: Death by
A Week in Review: Feb 20th - Feb 24th
EM Daily

A Week in Review: Feb 20th - Feb 24th

February 26 2017
Monday: Back to Basics - Baby, It's Cold Outside: Death by
Connect the Docs

WHAT IS HCC CODING? UNDERSTANDING TODAY'S RISK ADJUSTMENT MODEL

February 24 2017
WHAT IS HCC CODING? UNDERSTANDING TODAY'S RISK ADJUSTMENT
I Can’t Take the Pressure Anymore! When to Worry About Abdominal Compartment Syndrome
EM Daily

I Can’t Take the Pressure Anymore! When to Worry About Abdominal Compartment Syndrome

February 24 2017
Intra-abdominal hypertension (IAH) and abdominal compartment
I Can’t Take the Pressure Anymore! When to Worry About Abdominal Compartment Syndrome
EM Daily

I Can’t Take the Pressure Anymore! When to Worry About Abdominal Compartment Syndrome

February 24 2017
Intra-abdominal hypertension (IAH) and abdominal compartment
  • First page
  • Previous page
  • …
  • Page 280
  • Page 281
  • Current page 282
  • Page 283
  • Page 284
  • …
  • Next page
  • Last page
Blogs

Hospital Main Number

856.342.2000

Main Hospital Website

COOPERHEALTH.ORG

Cooper Health

Programs

  • Residencies
  • Fellowships
  • Nursing Education
  • Allied Health
  • CME
  • Life Support Training

More from Cooper

  • Research
  • Resident Wellness
  • Medical School
  • Our Campus
  • Main Hospital
  • Privacy Statement
  • FastCommand

1.800.8.COOPER (1.800.826.6737)

Contact Us

Cooper University Health Care's Main Website

This website is for informational purposes only and not intended as medical advice or a substitute for a consultation with a professional healthcare provider.

All content © 2022 Cooper University Health Care.

Menu
Education Home
Health System Home
Search

Main Navigation

  • RESIDENCIES
  • FELLOWSHIPS
  • NURSING AT COOPER
  • RESEARCH
  • INNOVATION CENTER

Tired of Typing? Let's Talk.

Call 1.800.8.COOPER to speak with a Cooper representative who can answer your questions, schedule appointments and register you for classes, events and support groups.

Representatives are available Monday through Friday from 8 a.m. - 5 p.m. to assist you.

Enter your phone number below and we will connect you for free.