Skip to main content
Home
Menu

Search Cooper


Popular Terms and Topics

  • Internal Medicine Residency
  • Surgical Critical Care Fellowship
  • Gastroenterology Fellowship
  • Neurology Residency
  • Cooper Research
Breadcrumb
Home  /   Med Ed Blogs
EM Daily

What's the Diagnosis?

February 01 2017
Answer: Cholelithiasis without cholecystitis
Airway Mastery Series: Mastering the Bougie
EM Daily

Airway Mastery Series: Mastering the Bougie

January 30 2017
The bougie is a flexible device that is 60 cm in length and
Airway Mastery Series: Mastering the Bougie
EM Daily

Airway Mastery Series: Mastering the Bougie

January 30 2017
The bougie is a flexible device that is 60 cm in length and
EM Daily

Esophageal Variceal Bleeding in the Emergency Department

January 30 2017
Prognosis is poor: 16% mortality overall, 15-30% for first
EM Daily

Esophageal Variceal Bleeding in the Emergency Department

January 30 2017
Prognosis is poor: 16% mortality overall, 15-30% for first
EM Daily

#EM conf!

January 26 2017
Consider incentive spirometer for hemodynamically stable
EM Daily

#EM conf!

January 26 2017
Consider incentive spirometer for hemodynamically stable
Imaging Case: Answer
EM Daily

Imaging Case: Answer

January 25 2017
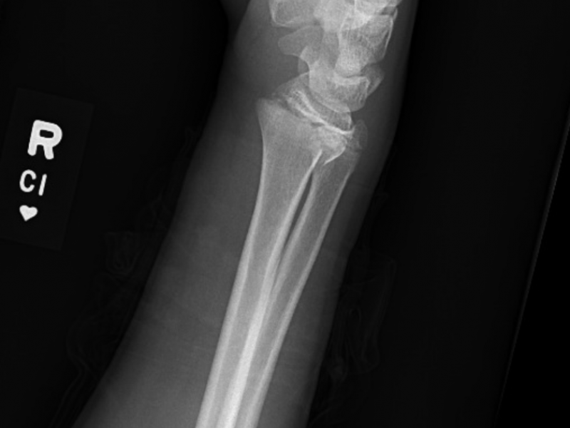
Answer: B. Salter-Harris Fracture Type II In a patient with
Imaging Case: Answer
EM Daily

Imaging Case: Answer

January 25 2017
Answer: B. Salter-Harris Fracture Type II In a patient with
Imaging Case: 15 Year Old Girl with Right Wrist Pain
EM Daily

Imaging Case: 15 Year Old Girl with Right Wrist Pain

January 25 2017
Case: A 15 year old girl flipped while snowboarding and
  • First page
  • Previous page
  • …
  • Page 286
  • Page 287
  • Current page 288
  • Page 289
  • Page 290
  • …
  • Next page
  • Last page
Blogs

Hospital Main Number

856.342.2000

Main Hospital Website

COOPERHEALTH.ORG

Cooper Health

Programs

  • Residencies
  • Fellowships
  • Nursing Education
  • Allied Health
  • CME
  • Life Support Training

More from Cooper

  • Research
  • Resident Wellness
  • Medical School
  • Our Campus
  • Main Hospital
  • Privacy Statement
  • FastCommand

1.800.8.COOPER (1.800.826.6737)

Contact Us

Cooper University Health Care's Main Website

This website is for informational purposes only and not intended as medical advice or a substitute for a consultation with a professional healthcare provider.

All content © 2022 Cooper University Health Care.

Menu
Education Home
Health System Home
Search

Main Navigation

  • RESIDENCIES
  • FELLOWSHIPS
  • NURSING AT COOPER
  • RESEARCH
  • INNOVATION CENTER

Tired of Typing? Let's Talk.

Call 1.800.8.COOPER to speak with a Cooper representative who can answer your questions, schedule appointments and register you for classes, events and support groups.

Representatives are available Monday through Friday from 8 a.m. - 5 p.m. to assist you.

Enter your phone number below and we will connect you for free.