Skip to main content
Home
Menu

Search Cooper


Popular Terms and Topics

  • Internal Medicine Residency
  • Surgical Critical Care Fellowship
  • Gastroenterology Fellowship
  • Neurology Residency
  • Cooper Research
Breadcrumb
Home  /   Med Ed Blogs
EM Daily

Night Shift Aid?: Caffeine Impregnated Gum from the Military

January 07 2017
Staying alert and functioning at a high level during an
EM Daily

Night Shift Aid?: Caffeine Impregnated Gum from the Military

January 07 2017
Staying alert and functioning at a high level during an
EM Daily

GI Bleeding: The Evidence Behind When to Transfuse?

January 06 2017
When patients present to the Emergency Department with acute
EM Daily

GI Bleeding: The Evidence Behind When to Transfuse?

January 06 2017
When patients present to the Emergency Department with acute
EM Daily

When Snow Blowers Attack: How to Use a Rongeur in Finger Amputations

January 05 2017
Your patient in the Emergency Department has a Zone II or
EM Daily

When Snow Blowers Attack: How to Use a Rongeur in Finger Amputations

January 05 2017
Your patient in the Emergency Department has a Zone II or
Imaging Case: Answer
EM Daily

Imaging Case: Answer

January 04 2017
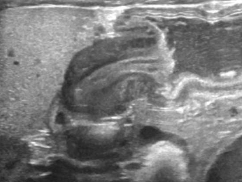
Answer: False. Infants present with non-bilious vomiting
Imaging Case: Answer
EM Daily

Imaging Case: Answer

January 04 2017
Answer: False. Infants present with non-bilious vomiting
Imaging Case: Six Week-Old Infant with Projectile Vomiting
EM Daily

Imaging Case: Six Week-Old Infant with Projectile Vomiting

January 04 2017
Case: A six week-old previously healthy, term infant via
Imaging Case: Six Week-Old Infant with Projectile Vomiting
EM Daily

Imaging Case: Six Week-Old Infant with Projectile Vomiting

January 04 2017
Case: A six week-old previously healthy, term infant via
  • First page
  • Previous page
  • …
  • Page 291
  • Page 292
  • Current page 293
  • Page 294
  • Page 295
  • …
  • Next page
  • Last page
Blogs

Hospital Main Number

856.342.2000

Main Hospital Website

COOPERHEALTH.ORG

Cooper Health

Programs

  • Residencies
  • Fellowships
  • Nursing Education
  • Allied Health
  • CME
  • Life Support Training

More from Cooper

  • Research
  • Resident Wellness
  • Medical School
  • Our Campus
  • Main Hospital
  • Privacy Statement
  • FastCommand

1.800.8.COOPER (1.800.826.6737)

Contact Us

Cooper University Health Care's Main Website

This website is for informational purposes only and not intended as medical advice or a substitute for a consultation with a professional healthcare provider.

All content © 2022 Cooper University Health Care.

Menu
Education Home
Health System Home
Search

Main Navigation

  • RESIDENCIES
  • FELLOWSHIPS
  • NURSING AT COOPER
  • RESEARCH
  • INNOVATION CENTER

Tired of Typing? Let's Talk.

Call 1.800.8.COOPER to speak with a Cooper representative who can answer your questions, schedule appointments and register you for classes, events and support groups.

Representatives are available Monday through Friday from 8 a.m. - 5 p.m. to assist you.

Enter your phone number below and we will connect you for free.