Skip to main content
Home
Menu

Search Cooper


Popular Terms and Topics

  • Internal Medicine Residency
  • Surgical Critical Care Fellowship
  • Gastroenterology Fellowship
  • Neurology Residency
  • Cooper Research
Breadcrumb
Home  /   Med Ed Blogs
EM Daily

Can You Name the Three Pelvic Fractures?

December 15 2016
Case: 43 year old woman presents to Emergency Department
EM Daily

Imaging Case: Answer

December 14 2016
Answer: B) Fournier's Gangrene. Diagnosis: Fournier's
EM Daily

Imaging Case: Answer

December 14 2016
Answer: B) Fournier's Gangrene. Diagnosis: Fournier's
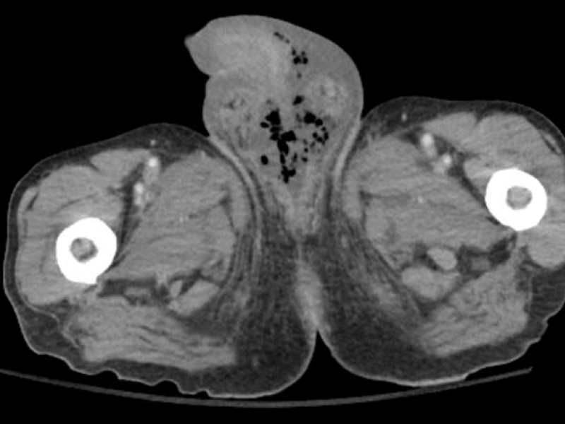
Imaging Case: 74 Year Old Male with Rectal Pain and Fatigue
EM Daily

Imaging Case: 74 Year Old Male with Rectal Pain and Fatigue

December 14 2016
Case: A 74 yo male patient with a PMH significant for rectal
Imaging Case: 74 Year Old Male with Rectal Pain and Fatigue
EM Daily

Imaging Case: 74 Year Old Male with Rectal Pain and Fatigue

December 14 2016
Case: A 74 yo male patient with a PMH significant for rectal
How to Not Miss a Posterior Myocardial Infarction
EM Daily

How to Not Miss a Posterior Myocardial Infarction

December 13 2016
The anatomical location of a posterior myocardial infarction
How to Not Miss a Posterior Myocardial Infarction
EM Daily

How to Not Miss a Posterior Myocardial Infarction

December 13 2016
The anatomical location of a posterior myocardial infarction
Dexamethasone in Meningitis: The Evidence and Identifying Barriers to Care
EM Daily

Dexamethasone in Meningitis: The Evidence and Identifying Barriers to Care

December 12 2016
Beyond mortality, the plague of bacterial meningitis on the
Dexamethasone in Meningitis: The Evidence and Identifying Barriers to Care
EM Daily

Dexamethasone in Meningitis: The Evidence and Identifying Barriers to Care

December 12 2016
Beyond mortality, the plague of bacterial meningitis on the
EM Daily

A Week in Review: Dec 5th-Dec 10th

December 11 2016
Time of onset of corticosteroid action in acute asthma
  • First page
  • Previous page
  • …
  • Page 295
  • Page 296
  • Current page 297
  • Page 298
  • Page 299
  • …
  • Next page
  • Last page
Blogs

Hospital Main Number

856.342.2000

Main Hospital Website

COOPERHEALTH.ORG

Cooper Health

Programs

  • Residencies
  • Fellowships
  • Nursing Education
  • Allied Health
  • CME
  • Life Support Training

More from Cooper

  • Research
  • Resident Wellness
  • Medical School
  • Our Campus
  • Main Hospital
  • Privacy Statement
  • FastCommand

1.800.8.COOPER (1.800.826.6737)

Contact Us

Cooper University Health Care's Main Website

This website is for informational purposes only and not intended as medical advice or a substitute for a consultation with a professional healthcare provider.

All content © 2022 Cooper University Health Care.

Menu
Education Home
Health System Home
Search

Main Navigation

  • RESIDENCIES
  • FELLOWSHIPS
  • NURSING AT COOPER
  • RESEARCH
  • INNOVATION CENTER

Tired of Typing? Let's Talk.

Call 1.800.8.COOPER to speak with a Cooper representative who can answer your questions, schedule appointments and register you for classes, events and support groups.

Representatives are available Monday through Friday from 8 a.m. - 5 p.m. to assist you.

Enter your phone number below and we will connect you for free.