Skip to main content
Home
Menu

Search Cooper


Popular Terms and Topics

  • Internal Medicine Residency
  • Surgical Critical Care Fellowship
  • Gastroenterology Fellowship
  • Neurology Residency
  • Cooper Research
Breadcrumb
Home  /   Med Ed Blogs
Abdominal Aortic Ultrasound Review  By Dr. Ciervo
EM Daily

Abdominal Aortic Ultrasound Review By Dr. Ciervo

September 25 2024
What are we looking for? Aortic Abdominal Aneurysm (AAA)
EM Daily

Advanced Cases: Stroke in the Sickle Cell Patient

September 24 2024
By: Dr. Sean Coulson HPI: Pt is a 38 y/o male with hx of
EM Daily

Hyperglycemic Hyperosmolar Syndrome

September 23 2024
Vasopressors Part V: Dopamine
EM Daily

Vasopressors Part V: Dopamine

September 19 2024
What is the Diagnosis?
EM Daily

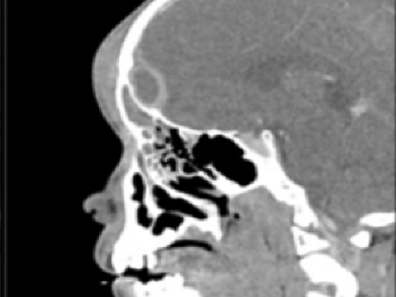
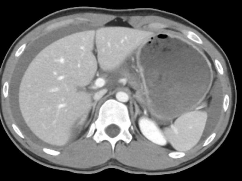
What is the Diagnosis?

September 18 2024
Case: An 80 year old female with a history of COPD presents
Advanced Cases: Metacarpal Fractures
EM Daily

Advanced Cases: Metacarpal Fractures

September 17 2024
Sean Coulson D.O. HPI: Pt is a 24 y/o male who presents for
Everything Epinephrine with Dr. Sean Coulson
EM Daily

Everything Epinephrine with Dr. Sean Coulson

September 16 2024
References: https://www.ncbi.nlm.nih.gov/books/NBK482160
Vasopressors Part IV: Phenylephrine
EM Daily

Vasopressors Part IV: Phenylephrine

September 12 2024
Connect the Docs

National APP Week

September 11 2024
Please join us in celebrating National APP Week, starting
What is the Diagnosis?
EM Daily

What is the Diagnosis?

September 11 2024
A 20 y.o patient presents to the ED after a motor vehicle
  • First page
  • Previous page
  • …
  • Page 2
  • Page 3
  • Current page 4
  • Page 5
  • Page 6
  • …
  • Next page
  • Last page
Blogs

Hospital Main Number

856.342.2000

Main Hospital Website

COOPERHEALTH.ORG

Cooper Health

Programs

  • Residencies
  • Fellowships
  • Nursing Education
  • Allied Health
  • CME
  • Life Support Training

More from Cooper

  • Research
  • Resident Wellness
  • Medical School
  • Our Campus
  • Main Hospital
  • Privacy Statement
  • FastCommand

1.800.8.COOPER (1.800.826.6737)

Contact Us

Cooper University Health Care's Main Website

This website is for informational purposes only and not intended as medical advice or a substitute for a consultation with a professional healthcare provider.

All content © 2022 Cooper University Health Care.

Menu
Education Home
Health System Home
Search

Main Navigation

  • RESIDENCIES
  • FELLOWSHIPS
  • NURSING AT COOPER
  • RESEARCH
  • INNOVATION CENTER

Tired of Typing? Let's Talk.

Call 1.800.8.COOPER to speak with a Cooper representative who can answer your questions, schedule appointments and register you for classes, events and support groups.

Representatives are available Monday through Friday from 8 a.m. - 5 p.m. to assist you.

Enter your phone number below and we will connect you for free.