Skip to main content
Home
Menu

Search Cooper


Popular Terms and Topics

  • Internal Medicine Residency
  • Surgical Critical Care Fellowship
  • Gastroenterology Fellowship
  • Neurology Residency
  • Cooper Research
Breadcrumb
Home  /   Med Ed Blogs
Connect the Docs

Green Team Tip of the Week

September 08 2021
If you replace a 25 mpg car with a hybrid car (55 mpg), you
Wellness Wednesday: Making Sandwiches For Cathedral Kitchen This Friday
Life at the Coop

Wellness Wednesday: Making Sandwiches For Cathedral Kitchen This Friday

September 08 2021
Dear colleagues, We will have a sandwich-making event for
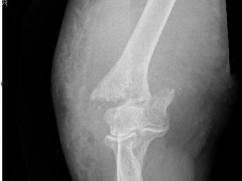
What's the diagnosis?  By Dr. Geno Marrone
EM Daily

What's the diagnosis? By Dr. Geno Marrone

September 08 2021
A 76 yo female presents after a fall on an outstretched
Advanced Cases and Content: Genital Pain
EM Daily

Advanced Cases and Content: Genital Pain

September 07 2021
11-year-old boy previously health who presents with
Fundoscopic Findings
EM Daily

Fundoscopic Findings

September 06 2021
Findings in visual / eye emergencies on fundoscopic exam By
Connect the Docs

More Women in Medicine recorded talks

September 05 2021
Preparation and Process for Professorship https://rowan
EM Daily

Board Review: Cardiology

September 04 2021
A 72 year old female presents to the Emergency Department
You're Invited! September 9: Cooper GME Hosts Diversity, Equity, and Inclusion (DEI) Council First Annual Mixer
Life at the Coop

You're Invited! September 9: Cooper GME Hosts Diversity, Equity, and Inclusion (DEI) Council First Annual Mixer

September 02 2021
Hello Cooper Residents, We would like to cordially invite
Connect the Docs

Women in Medicine recorded talks 2020

September 01 2021
Here are recordings of recent WIM presentations. You will
Life at the Coop

Wellness Wednesday: Mental Health Resources at Cooper

September 01 2021
Dear colleagues, Below are some pandemic resources from
  • First page
  • Previous page
  • …
  • Page 59
  • Page 60
  • Current page 61
  • Page 62
  • Page 63
  • …
  • Next page
  • Last page
Blogs

Hospital Main Number

856.342.2000

Main Hospital Website

COOPERHEALTH.ORG

Cooper Health

Programs

  • Residencies
  • Fellowships
  • Nursing Education
  • Allied Health
  • CME
  • Life Support Training

More from Cooper

  • Research
  • Resident Wellness
  • Medical School
  • Our Campus
  • Main Hospital
  • Privacy Statement
  • FastCommand

1.800.8.COOPER (1.800.826.6737)

Contact Us

Cooper University Health Care's Main Website

This website is for informational purposes only and not intended as medical advice or a substitute for a consultation with a professional healthcare provider.

All content © 2022 Cooper University Health Care.

Menu
Education Home
Health System Home
Search

Main Navigation

  • RESIDENCIES
  • FELLOWSHIPS
  • NURSING AT COOPER
  • RESEARCH
  • INNOVATION CENTER

Tired of Typing? Let's Talk.

Call 1.800.8.COOPER to speak with a Cooper representative who can answer your questions, schedule appointments and register you for classes, events and support groups.

Representatives are available Monday through Friday from 8 a.m. - 5 p.m. to assist you.

Enter your phone number below and we will connect you for free.