Skip to main content
Home
Menu

Search Cooper


Popular Terms and Topics

  • Internal Medicine Residency
  • Surgical Critical Care Fellowship
  • Gastroenterology Fellowship
  • Neurology Residency
  • Cooper Research
Breadcrumb
Home  /   Med Ed Blogs
What's the diagnosis?  By Dr. Karen O'Brien
EM Daily

What's the diagnosis? By Dr. Karen O'Brien

March 17 2021
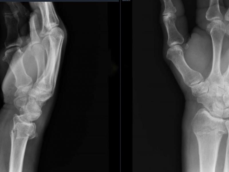
A 57 yo male slipped and fell on ice and presents with right
Critical Cases - Active Gluteal Muscle Internal Hemorrhage!
EM Daily

Critical Cases - Active Gluteal Muscle Internal Hemorrhage!

March 16 2021
History 68 yo male hx of atrial fibrillation on apixaban
Connect the Docs

National Sleep Week

March 15 2021
This week is Sleep Awareness Week which spotlights the
EM Daily

Back to Basics: Beta Blocker & Calcium Channel Blocker Overdose Treatment

March 15 2021
Beta-blocker (BB) and Calcium Channel Blocker (CCB) Overdose
Board Review: Acute Signs and Symptoms
EM Daily

Board Review: Acute Signs and Symptoms

March 13 2021
You are working in a community Emergency Department
Connect the Docs

National Day of Unplugging

March 13 2021
Today is a National Day of Unplugging. Of course, if you are
Hypoxia & Hypoxemia
EM Daily

Hypoxia & Hypoxemia

March 12 2021
EM Daily

Critically Appraised Topic: Syncope & Safe Discharge

March 11 2021
Study #1: Multi-center Emergency Department Validation of
Life at the Coop

Wellness Wednesday: Bon Voyage!

March 10 2021
We are sure everyone is longing for a trip somewhere
What's the Diagnosis? By Abby Renko MD
EM Daily

What's the Diagnosis? By Abby Renko MD

March 10 2021
A 61 yo F presents to the ED with neck pain after a fall
  • First page
  • Previous page
  • …
  • Page 76
  • Page 77
  • Current page 78
  • Page 79
  • Page 80
  • …
  • Next page
  • Last page
Blogs

Hospital Main Number

856.342.2000

Main Hospital Website

COOPERHEALTH.ORG

Cooper Health

Programs

  • Residencies
  • Fellowships
  • Nursing Education
  • Allied Health
  • CME
  • Life Support Training

More from Cooper

  • Research
  • Resident Wellness
  • Medical School
  • Our Campus
  • Main Hospital
  • Privacy Statement
  • FastCommand

1.800.8.COOPER (1.800.826.6737)

Contact Us

Cooper University Health Care's Main Website

This website is for informational purposes only and not intended as medical advice or a substitute for a consultation with a professional healthcare provider.

All content © 2022 Cooper University Health Care.

Menu
Education Home
Health System Home
Search

Main Navigation

  • RESIDENCIES
  • FELLOWSHIPS
  • NURSING AT COOPER
  • RESEARCH
  • INNOVATION CENTER

Tired of Typing? Let's Talk.

Call 1.800.8.COOPER to speak with a Cooper representative who can answer your questions, schedule appointments and register you for classes, events and support groups.

Representatives are available Monday through Friday from 8 a.m. - 5 p.m. to assist you.

Enter your phone number below and we will connect you for free.