Skip to main content
Home
Menu

Search Cooper


Popular Terms and Topics

  • Internal Medicine Residency
  • Surgical Critical Care Fellowship
  • Gastroenterology Fellowship
  • Neurology Residency
  • Cooper Research
Breadcrumb
Home  /   Med Ed Blogs
Connect the Docs

End of Women in Medicine month

October 01 2020
As September and thus the Women in Medicine month is at an
#EMConf: Bicarbonate & Cardiac Arrest
EM Daily

#EMConf: Bicarbonate & Cardiac Arrest

October 01 2020
Why do we care? Approximately 12% of patient survive from a
What's the Diagnosis? By Dr. Chris Smith
EM Daily

What's the Diagnosis? By Dr. Chris Smith

September 30 2020
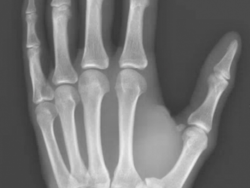
A 31 yo male presents with left thumb pain after a dirt bike
Life at the Coop

Medicine Grand Rounds: Diversity, Equity, and Inclusion

September 29 2020
Join us for "Medicine Grand Rounds: Diversity, Equity, and
Critical Cases - BRASH Syndrome & Cardiac Arrest!
EM Daily

Critical Cases - BRASH Syndrome & Cardiac Arrest!

September 29 2020
History 69 yo M hx of HTN on unknown medications presents to
Back to Basics: Right and Left Bundle Branch Blocks
EM Daily

Back to Basics: Right and Left Bundle Branch Blocks

September 28 2020
Back To Basics: Right and Left Bundle Branch Blocks Author
Board Review: Dermatology
EM Daily

Board Review: Dermatology

September 26 2020
A 50 yo female with a history of gout and seizures presents
Tracheostomy decannulation: To cap or not to cap?
EM Daily

Tracheostomy decannulation: To cap or not to cap?

September 25 2020
A 49-year-old woman was intubated for acute hypoxemic
EM Daily

#EMConf: Methemoglobinemia

September 24 2020
Pathophysiology: O2 binds iron portiono of Hemoglobin in
Life at the Coop

Wellness Wednesday: Virtual Wellness

September 23 2020
Last September, we had a Wellness Month. This year, things
  • First page
  • Previous page
  • …
  • Page 94
  • Page 95
  • Current page 96
  • Page 97
  • Page 98
  • …
  • Next page
  • Last page
Blogs

Hospital Main Number

856.342.2000

Main Hospital Website

COOPERHEALTH.ORG

Cooper Health

Programs

  • Residencies
  • Fellowships
  • Nursing Education
  • Allied Health
  • CME
  • Life Support Training

More from Cooper

  • Research
  • Resident Wellness
  • Medical School
  • Our Campus
  • Main Hospital
  • Privacy Statement
  • FastCommand

1.800.8.COOPER (1.800.826.6737)

Contact Us

Cooper University Health Care's Main Website

This website is for informational purposes only and not intended as medical advice or a substitute for a consultation with a professional healthcare provider.

All content © 2022 Cooper University Health Care.

Menu
Education Home
Health System Home
Search

Main Navigation

  • RESIDENCIES
  • FELLOWSHIPS
  • NURSING AT COOPER
  • RESEARCH
  • INNOVATION CENTER

Tired of Typing? Let's Talk.

Call 1.800.8.COOPER to speak with a Cooper representative who can answer your questions, schedule appointments and register you for classes, events and support groups.

Representatives are available Monday through Friday from 8 a.m. - 5 p.m. to assist you.

Enter your phone number below and we will connect you for free.