Skip to main content
Home
Menu

Search Cooper


Popular Terms and Topics

  • Internal Medicine Residency
  • Surgical Critical Care Fellowship
  • Gastroenterology Fellowship
  • Neurology Residency
  • Cooper Research
Breadcrumb
Home  /   Med Ed Blogs
EM Daily

ECMO: What is the Intensivist’s Role?

June 05 2020
A 52-year-old man with a history significant for
#EMConf: Blocks
EM Daily

#EMConf: Blocks

June 04 2020
Background: Ultrasound is a great alternative to conscious
What's the diagnosis?  By Dr. Loran Hatch
EM Daily

What's the diagnosis? By Dr. Loran Hatch

June 03 2020
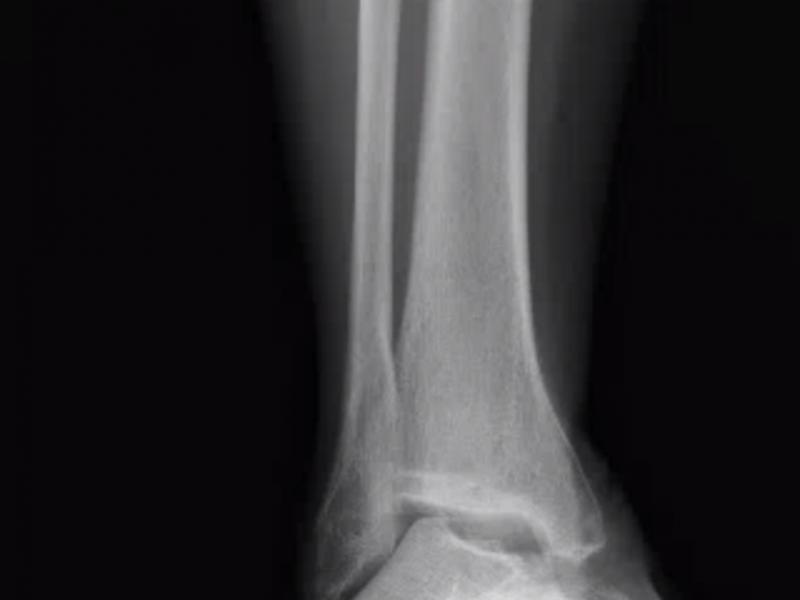
65 yo F presents to the ED with right ankle pain. She
EM Daily

Critical Cases - Multisystem Inflammatory Syndrome in Children!

June 02 2020
HPI: Initial sx 6 days prior: erythematous, cracked lips
Back to Basics: Dental Pain
EM Daily

Back to Basics: Dental Pain

June 01 2020
Dental pain is a common chief complaint in the emergency
Board Review: Down the watering hole
EM Daily

Board Review: Down the watering hole

May 30 2020
A 25 year old male with a history of IVDU is brought to the
EM Daily

BVM - Do no harm

May 29 2020
It's been a busy day in the ED and you've had several
#EMConf: ECG review
EM Daily

#EMConf: ECG review

May 28 2020
A patient with PMH of HTN and DM presents to the ED with
What's the Diagnosis? By Dr. Loran Hatch
EM Daily

What's the Diagnosis? By Dr. Loran Hatch

May 27 2020
80 yo M presents to the ED w/ 1 week of intermittent
Back to Basics: Ocular Ultrasound Part 2
EM Daily

Back to Basics: Ocular Ultrasound Part 2

May 25 2020
For a primer on how to perform a basic ocular ultrasound
  • First page
  • Previous page
  • …
  • Page 106
  • Page 107
  • Current page 108
  • Page 109
  • Page 110
  • …
  • Next page
  • Last page
Blogs

Hospital Main Number

856.342.2000

Main Hospital Website

COOPERHEALTH.ORG

Cooper Health

Programs

  • Residencies
  • Fellowships
  • Nursing Education
  • Allied Health
  • CME
  • Life Support Training

More from Cooper

  • Research
  • Resident Wellness
  • Medical School
  • Our Campus
  • Main Hospital
  • Privacy Statement
  • FastCommand

1.800.8.COOPER (1.800.826.6737)

Contact Us

Cooper University Health Care's Main Website

This website is for informational purposes only and not intended as medical advice or a substitute for a consultation with a professional healthcare provider.

All content © 2022 Cooper University Health Care.

Menu
Education Home
Health System Home
Search

Main Navigation

  • RESIDENCIES
  • FELLOWSHIPS
  • NURSING AT COOPER
  • RESEARCH
  • INNOVATION CENTER

Tired of Typing? Let's Talk.

Call 1.800.8.COOPER to speak with a Cooper representative who can answer your questions, schedule appointments and register you for classes, events and support groups.

Representatives are available Monday through Friday from 8 a.m. - 5 p.m. to assist you.

Enter your phone number below and we will connect you for free.