Skip to main content
Home
Menu

Search Cooper


Popular Terms and Topics

  • Internal Medicine Residency
  • Surgical Critical Care Fellowship
  • Gastroenterology Fellowship
  • Neurology Residency
  • Cooper Research
Breadcrumb
Home  /   Med Ed Blogs
Board Review: Down the watering hole
EM Daily

Board Review: Down the watering hole

May 23 2020
A 78 year old male with a history of obesity, DM, HTN, and
EM Daily

Angiotensin II and COVID-19

May 22 2020
As we learn more about the pathophysiology of COVID-19
#EMConf: Pediatric Elbow
EM Daily

#EMConf: Pediatric Elbow

May 21 2020
Need true lateral and AP X-rays to evaluate for elbow
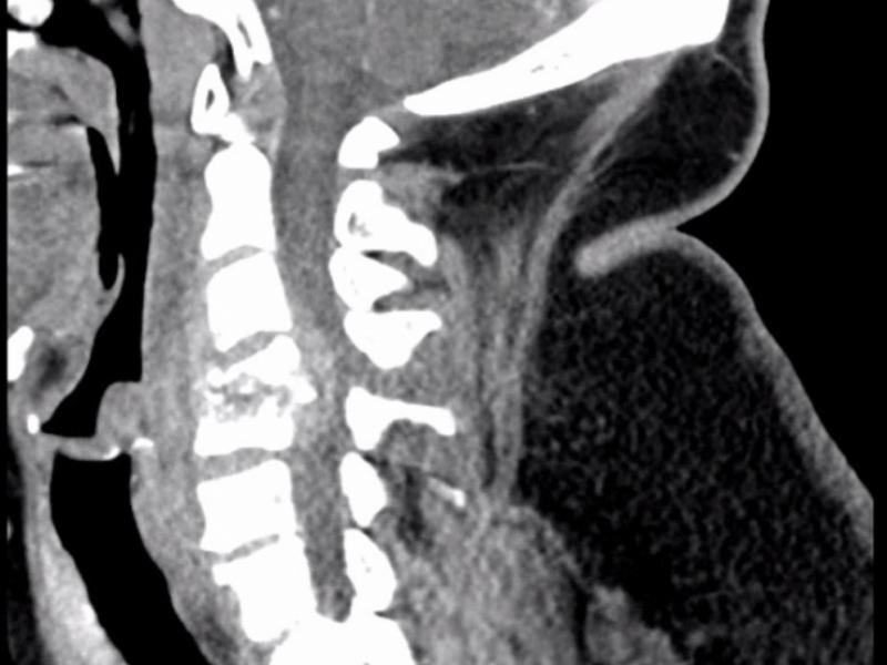
What's the diagnosis?  By Dr. Katie Selman
EM Daily

What's the diagnosis? By Dr. Katie Selman

May 20 2020
A 30 yo female presents with neck pain and bilateral arm
EM Daily

Interesting case of hypoglycemia

May 19 2020
HPI: 47 yo M with history of HTN, HLD, morbid obesity
Back to Basics: Ocular Ultrasound Part 1
EM Daily

Back to Basics: Ocular Ultrasound Part 1

May 18 2020
EM Daily

Board Review: Down the watering hole

May 16 2020
65 year old 70 kg female with past medical history
EM Daily

Stay sharp overnight

May 15 2020
In emergency medicine and critical care medicine, acute
#EMConf: Stats basics
EM Daily

#EMConf: Stats basics

May 14 2020
' Sensitivity = # patients w/ positive test who have disease
What's the diagnosis?  By Dr. Katie Selman
EM Daily

What's the diagnosis? By Dr. Katie Selman

May 13 2020
A healthy 22 yo female presents to the ED with left thumb
  • First page
  • Previous page
  • …
  • Page 107
  • Page 108
  • Current page 109
  • Page 110
  • Page 111
  • …
  • Next page
  • Last page
Blogs

Hospital Main Number

856.342.2000

Main Hospital Website

COOPERHEALTH.ORG

Cooper Health

Programs

  • Residencies
  • Fellowships
  • Nursing Education
  • Allied Health
  • CME
  • Life Support Training

More from Cooper

  • Research
  • Resident Wellness
  • Medical School
  • Our Campus
  • Main Hospital
  • Privacy Statement
  • FastCommand

1.800.8.COOPER (1.800.826.6737)

Contact Us

Cooper University Health Care's Main Website

This website is for informational purposes only and not intended as medical advice or a substitute for a consultation with a professional healthcare provider.

All content © 2022 Cooper University Health Care.

Menu
Education Home
Health System Home
Search

Main Navigation

  • RESIDENCIES
  • FELLOWSHIPS
  • NURSING AT COOPER
  • RESEARCH
  • INNOVATION CENTER

Tired of Typing? Let's Talk.

Call 1.800.8.COOPER to speak with a Cooper representative who can answer your questions, schedule appointments and register you for classes, events and support groups.

Representatives are available Monday through Friday from 8 a.m. - 5 p.m. to assist you.

Enter your phone number below and we will connect you for free.