Skip to main content
Home
Menu

Search Cooper


Popular Terms and Topics

  • Internal Medicine Residency
  • Surgical Critical Care Fellowship
  • Gastroenterology Fellowship
  • Neurology Residency
  • Cooper Research
Breadcrumb
Home  /   Med Ed Blogs
Connect the Docs

Mentor opportunities

January 22 2020
Mentorship and peer support are critical factors to promote
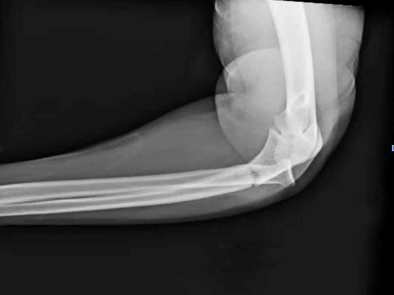
What's the diagnosis?  By Dr. Loran Hatch
EM Daily

What's the diagnosis? By Dr. Loran Hatch

January 22 2020
A 50 yo female presents after FOOSH; she fell down a curb
EM Daily

Interesting Cases: Ear Pain

January 21 2020
HPI: 64 yo female with redness and swelling of left ear with
Honoring Martin Luther King, Jr. Through Service
Life at the Coop

Honoring Martin Luther King, Jr. Through Service

January 20 2020
753 Walnut St., Camden, NJ. In 1950, Rev. Dr. Martin Luther
Connect the Docs

MLK Day

January 20 2020
In remembrance of MLK Day, Dr. Martin Luther King had a
Back to Basics: Cholecystitis
EM Daily

Back to Basics: Cholecystitis

January 20 2020
Board Review: Pick your poison!
EM Daily

Board Review: Pick your poison!

January 18 2020
A 55-year-old male presents to the ED with presumed alcohol
Preventing ventilator-induce lung injury (VILI): Optimizing PEEP titration in ARDS
EM Daily

Preventing ventilator-induce lung injury (VILI): Optimizing PEEP titration in ARDS

January 17 2020
While necessary, mechanical ventilation can lead to
#EMConf: CAT Benzo vs Antipsychotic for sedation
EM Daily

#EMConf: CAT Benzo vs Antipsychotic for sedation

January 16 2020
The bottom line: Multiple options are available for ED
Wellness Wednesday: Half-Day for Wellness
Life at the Coop

Wellness Wednesday: Half-Day for Wellness

January 15 2020
Pet therapy counts, too! We are at the half-way point of the
  • First page
  • Previous page
  • …
  • Page 120
  • Page 121
  • Current page 122
  • Page 123
  • Page 124
  • …
  • Next page
  • Last page
Blogs

Hospital Main Number

856.342.2000

Main Hospital Website

COOPERHEALTH.ORG

Cooper Health

Programs

  • Residencies
  • Fellowships
  • Nursing Education
  • Allied Health
  • CME
  • Life Support Training

More from Cooper

  • Research
  • Resident Wellness
  • Medical School
  • Our Campus
  • Main Hospital
  • Privacy Statement
  • FastCommand

1.800.8.COOPER (1.800.826.6737)

Contact Us

Cooper University Health Care's Main Website

This website is for informational purposes only and not intended as medical advice or a substitute for a consultation with a professional healthcare provider.

All content © 2022 Cooper University Health Care.

Menu
Education Home
Health System Home
Search

Main Navigation

  • RESIDENCIES
  • FELLOWSHIPS
  • NURSING AT COOPER
  • RESEARCH
  • INNOVATION CENTER

Tired of Typing? Let's Talk.

Call 1.800.8.COOPER to speak with a Cooper representative who can answer your questions, schedule appointments and register you for classes, events and support groups.

Representatives are available Monday through Friday from 8 a.m. - 5 p.m. to assist you.

Enter your phone number below and we will connect you for free.