Skip to main content
Home
Menu

Search Cooper


Popular Terms and Topics

  • Internal Medicine Residency
  • Surgical Critical Care Fellowship
  • Gastroenterology Fellowship
  • Neurology Residency
  • Cooper Research
Breadcrumb
Home  /   Med Ed Blogs
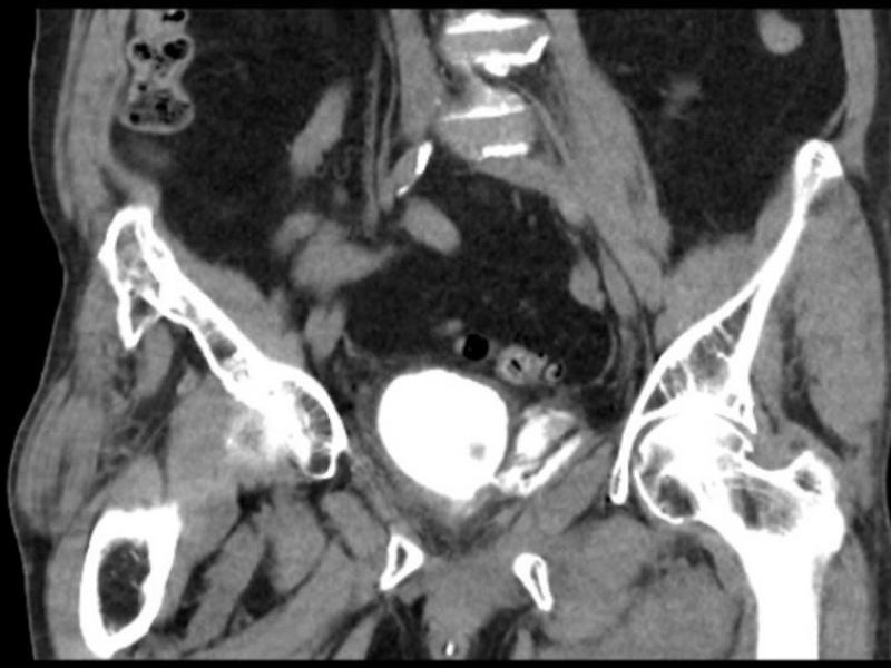
What's the diagnosis?  By Dr. Katie Selman
EM Daily

What's the diagnosis? By Dr. Katie Selman

January 15 2020
A 76 yo female presents after a fall down several stairs
Residents Support Cathedral Kitchen With Latest Service Project
Life at the Coop

Residents Support Cathedral Kitchen With Latest Service Project

January 14 2020
Cooper residents came together on Tuesday, January 14, 2020
Cooper GME Recognizes Antoinette Spevetz, MD, For Dedicated Service and Leadership
Life at the Coop

Cooper GME Recognizes Antoinette Spevetz, MD, For Dedicated Service and Leadership

January 13 2020
Dr. Spevetz, second from right, pictured with Cooper GME
EM Daily

Back to Basics: Lithium Toxicity

January 13 2020
Ten Fast Facts for Managing Lithium Toxicity in the ED
Board Review: Pick your poison!
EM Daily

Board Review: Pick your poison!

January 11 2020
A 26-year-old male with a history of asthma presents to the
EM Daily

Severe hyperthermia? Its in the bag.

January 10 2020
While your friends at home are shivering in the Camden, NJ
Connect the Docs

Medscape Physician Lifestyle and Wellness survey results 2020

January 09 2020
Medscape conducted a fascinating survey of about 15,000
#EMConf: Vaginal Bleeding
EM Daily

#EMConf: Vaginal Bleeding

January 09 2020
Wellness Wednesday: Your Chance to Volunteer
Life at the Coop

Wellness Wednesday: Your Chance to Volunteer

January 08 2020
Volunteering and altruism is good for us and others. It has
What's the Diagnosis? By Dr. Loran Hatch
EM Daily

What's the Diagnosis? By Dr. Loran Hatch

January 08 2020
70 yo F presents to the ED with right arm pain. She reports
  • First page
  • Previous page
  • …
  • Page 121
  • Page 122
  • Current page 123
  • Page 124
  • Page 125
  • …
  • Next page
  • Last page
Blogs

Hospital Main Number

856.342.2000

Main Hospital Website

COOPERHEALTH.ORG

Cooper Health

Programs

  • Residencies
  • Fellowships
  • Nursing Education
  • Allied Health
  • CME
  • Life Support Training

More from Cooper

  • Research
  • Resident Wellness
  • Medical School
  • Our Campus
  • Main Hospital
  • Privacy Statement
  • FastCommand

1.800.8.COOPER (1.800.826.6737)

Contact Us

Cooper University Health Care's Main Website

This website is for informational purposes only and not intended as medical advice or a substitute for a consultation with a professional healthcare provider.

All content © 2022 Cooper University Health Care.

Menu
Education Home
Health System Home
Search

Main Navigation

  • RESIDENCIES
  • FELLOWSHIPS
  • NURSING AT COOPER
  • RESEARCH
  • INNOVATION CENTER

Tired of Typing? Let's Talk.

Call 1.800.8.COOPER to speak with a Cooper representative who can answer your questions, schedule appointments and register you for classes, events and support groups.

Representatives are available Monday through Friday from 8 a.m. - 5 p.m. to assist you.

Enter your phone number below and we will connect you for free.