Skip to main content
Home
Menu

Search Cooper


Popular Terms and Topics

  • Internal Medicine Residency
  • Surgical Critical Care Fellowship
  • Gastroenterology Fellowship
  • Neurology Residency
  • Cooper Research
Breadcrumb
Home  /   Med Ed Blogs
EM Daily

#EMConf: CAT

December 05 2019
Clinical Question: Does giving Benadryl prophylactically
What's the diagnosis?  By Dr. Katie Selman
EM Daily

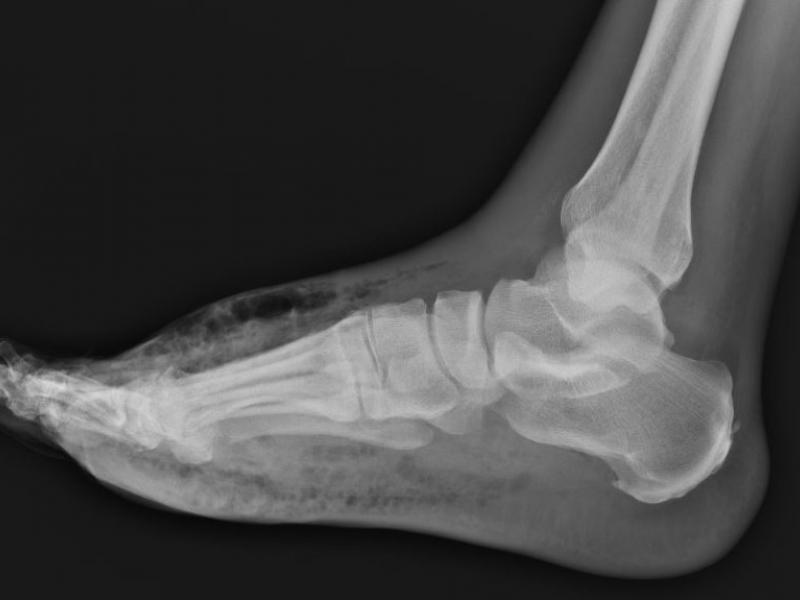
What's the diagnosis? By Dr. Katie Selman

December 04 2019
A 66 yo male hx of DM presents to the ED with right foot
Connect the Docs

Last Song - a perspectives piece from New England

December 03 2019
Attached is a recent New England Journal Perspectives piece
EM Daily

Critical Cases - Pericardial effusion!

December 03 2019
HPI 49yo F c/o diffuse abd pain. Denies cp, sob +Nausea, no
Connect the Docs

Last call for physician nominations

December 02 2019
Do you want to nominate a colleague for Physician of the
EM Daily

Back to Basics: PE Management in the ED

December 02 2019
Pulmonary Embolism - Emergency Management Definition
Board Review: It's all about the little people!
EM Daily

Board Review: It's all about the little people!

November 30 2019
A 4-month old female born at full term otherwise healthy
EM Daily

Low Tidal Volume Strategy for Patients without ARDS; Takeaways from PReVENT

November 29 2019
EMS brings in a 67 year old male in a PEA arrest. ROSC is
EM Daily

#EMConf: Journal club

November 28 2019
Why does it matter? Heart disease is a major cause of out-of
Medicine Grand Rounds: December 2019
Life at the Coop

Medicine Grand Rounds: December 2019

November 27 2019
Join us in December for our Medicine Grand Rounds, held from
  • First page
  • Previous page
  • …
  • Page 125
  • Page 126
  • Current page 127
  • Page 128
  • Page 129
  • …
  • Next page
  • Last page
Blogs

Hospital Main Number

856.342.2000

Main Hospital Website

COOPERHEALTH.ORG

Cooper Health

Programs

  • Residencies
  • Fellowships
  • Nursing Education
  • Allied Health
  • CME
  • Life Support Training

More from Cooper

  • Research
  • Resident Wellness
  • Medical School
  • Our Campus
  • Main Hospital
  • Privacy Statement
  • FastCommand

1.800.8.COOPER (1.800.826.6737)

Contact Us

Cooper University Health Care's Main Website

This website is for informational purposes only and not intended as medical advice or a substitute for a consultation with a professional healthcare provider.

All content © 2022 Cooper University Health Care.

Menu
Education Home
Health System Home
Search

Main Navigation

  • RESIDENCIES
  • FELLOWSHIPS
  • NURSING AT COOPER
  • RESEARCH
  • INNOVATION CENTER

Tired of Typing? Let's Talk.

Call 1.800.8.COOPER to speak with a Cooper representative who can answer your questions, schedule appointments and register you for classes, events and support groups.

Representatives are available Monday through Friday from 8 a.m. - 5 p.m. to assist you.

Enter your phone number below and we will connect you for free.