Skip to main content
Home
Menu

Search Cooper


Popular Terms and Topics

  • Internal Medicine Residency
  • Surgical Critical Care Fellowship
  • Gastroenterology Fellowship
  • Neurology Residency
  • Cooper Research
Breadcrumb
Home  /   Med Ed Blogs
#OurCommunity: Housestaff Council Community Service Project
Life at the Coop

#OurCommunity: Housestaff Council Community Service Project

November 21 2019
Our Cooper Teams are proud of their Camden community, and we
EM Daily

#EMConf: aVR

November 21 2019
Differential Diagnosis for ST elevation in aVR -ACS: Left
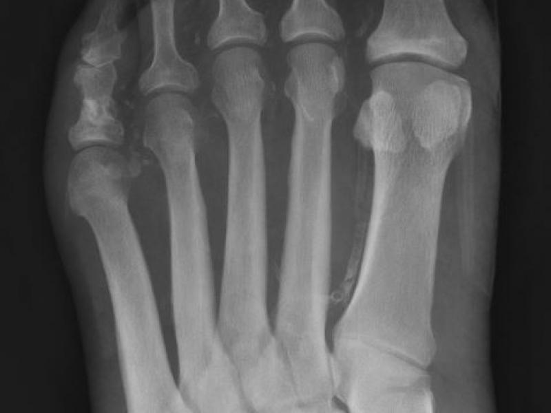
What's the diagnosis?  By Dr. Sydney Tabaac
EM Daily

What's the diagnosis? By Dr. Sydney Tabaac

November 20 2019
A 65 yo male pmhx DM, HTN, HLD, presents with left foot pain
EM Daily

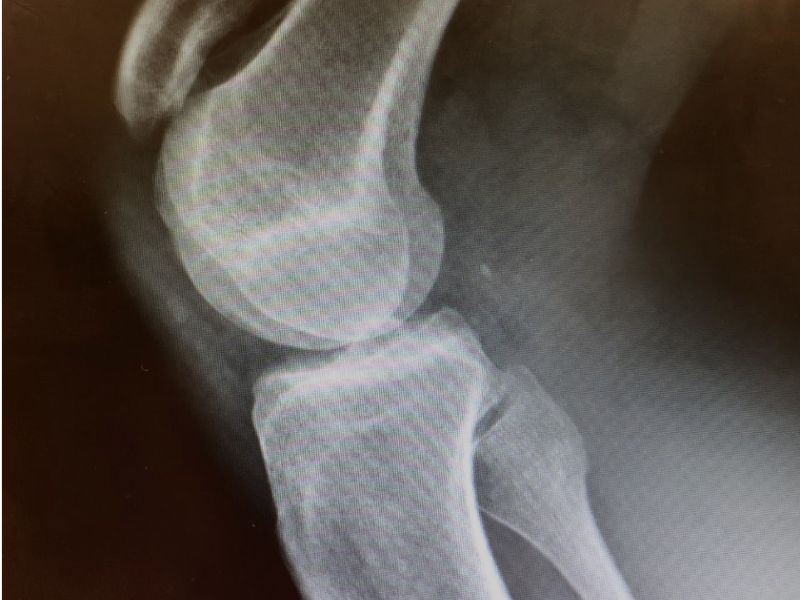
Interesting case of expanding hematoma

November 19 2019
HPI 77 y.o F PMHx CAD, AF on Eliquis presents with R thigh
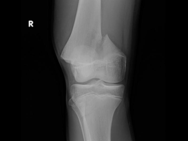
Back to Basics: A Case of Traumatic Knee Pain
EM Daily

Back to Basics: A Case of Traumatic Knee Pain

November 18 2019
Back to Basics: A Case of Traumatic Knee Pain By Dr. Ozair
Board Review: It's all about the little people!
EM Daily

Board Review: It's all about the little people!

November 16 2019
15 year old male presents to the emergency department after
EM Daily

Should the Pulse Oximetry be an A or A+?

November 15 2019
A patient has arrived with increased work of breathing
Connect the Docs

Global Kindness Day

November 14 2019
November 13th was Global Kindness Day but it is never too
EM Daily

#EMConf: Restrictive Cardiomyopathy

November 14 2019
Primary cardiomyopathies are specifically related to issues
World Kindness Day
Life at the Coop

World Kindness Day

November 13 2019
Today is World Kindness Day ! Whether it is holding open a
  • First page
  • Previous page
  • …
  • Page 127
  • Page 128
  • Current page 129
  • Page 130
  • Page 131
  • …
  • Next page
  • Last page
Blogs

Hospital Main Number

856.342.2000

Main Hospital Website

COOPERHEALTH.ORG

Cooper Health

Programs

  • Residencies
  • Fellowships
  • Nursing Education
  • Allied Health
  • CME
  • Life Support Training

More from Cooper

  • Research
  • Resident Wellness
  • Medical School
  • Our Campus
  • Main Hospital
  • Privacy Statement
  • FastCommand

1.800.8.COOPER (1.800.826.6737)

Contact Us

Cooper University Health Care's Main Website

This website is for informational purposes only and not intended as medical advice or a substitute for a consultation with a professional healthcare provider.

All content © 2022 Cooper University Health Care.

Menu
Education Home
Health System Home
Search

Main Navigation

  • RESIDENCIES
  • FELLOWSHIPS
  • NURSING AT COOPER
  • RESEARCH
  • INNOVATION CENTER

Tired of Typing? Let's Talk.

Call 1.800.8.COOPER to speak with a Cooper representative who can answer your questions, schedule appointments and register you for classes, events and support groups.

Representatives are available Monday through Friday from 8 a.m. - 5 p.m. to assist you.

Enter your phone number below and we will connect you for free.