Skip to main content
Home
Menu

Search Cooper


Popular Terms and Topics

  • Internal Medicine Residency
  • Surgical Critical Care Fellowship
  • Gastroenterology Fellowship
  • Neurology Residency
  • Cooper Research
Breadcrumb
Home  /   Med Ed Blogs
Physiologic Alarms in the ED - Time to turn down the volume.
EM Daily

Physiologic Alarms in the ED - Time to turn down the volume.

October 18 2019
The soundscape of the ED is chaotic - filled with voices
EM Daily

#EMConf: Ketamine vs Morphine for acute pain

October 17 2019
Clinical Question: Is low dose ketamine (LDK) comparable to
Connect the Docs

Wellness self-assessment

October 16 2019
Below is a free 9-question self-assessment of your wellness
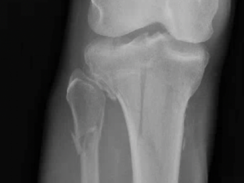
What's the Diagnosis? By Dr. Loran Hatch
EM Daily

What's the Diagnosis? By Dr. Loran Hatch

October 16 2019
A 55 yo M presents to the ED after being struck by a motor
Women in Medicine Kick off event
Connect the Docs

Women in Medicine Kick off event

October 14 2019
The Women in Medicine group just had their first kick-off
EM Daily

Risk Stratification in Upper GI Bleeding

October 14 2019
Patient presents with a history of dark stools for the past
EM Daily

Sunday Funday: Ocular ultrasound

October 13 2019
See below for a case utilizing ocular ultrasound to diagnose
Board Review: Revive Me!
EM Daily

Board Review: Revive Me!

October 12 2019
A 48-year-old man presents to the Emergency Department by
Mechanical Ventilation Alarms: High Airway Pressure
EM Daily

Mechanical Ventilation Alarms: High Airway Pressure

October 11 2019
Before you make changes to the ventilator, recall the
EM Daily

#EMConf: Wellen's Syndrome

October 10 2019
65 yo F w/ hx HTN, GERD, presents to the ED w/ non
  • First page
  • Previous page
  • …
  • Page 131
  • Page 132
  • Current page 133
  • Page 134
  • Page 135
  • …
  • Next page
  • Last page
Blogs

Hospital Main Number

856.342.2000

Main Hospital Website

COOPERHEALTH.ORG

Cooper Health

Programs

  • Residencies
  • Fellowships
  • Nursing Education
  • Allied Health
  • CME
  • Life Support Training

More from Cooper

  • Research
  • Resident Wellness
  • Medical School
  • Our Campus
  • Main Hospital
  • Privacy Statement
  • FastCommand

1.800.8.COOPER (1.800.826.6737)

Contact Us

Cooper University Health Care's Main Website

This website is for informational purposes only and not intended as medical advice or a substitute for a consultation with a professional healthcare provider.

All content © 2022 Cooper University Health Care.

Menu
Education Home
Health System Home
Search

Main Navigation

  • RESIDENCIES
  • FELLOWSHIPS
  • NURSING AT COOPER
  • RESEARCH
  • INNOVATION CENTER

Tired of Typing? Let's Talk.

Call 1.800.8.COOPER to speak with a Cooper representative who can answer your questions, schedule appointments and register you for classes, events and support groups.

Representatives are available Monday through Friday from 8 a.m. - 5 p.m. to assist you.

Enter your phone number below and we will connect you for free.