Skip to main content
Home
Menu

Search Cooper


Popular Terms and Topics

  • Internal Medicine Residency
  • Surgical Critical Care Fellowship
  • Gastroenterology Fellowship
  • Neurology Residency
  • Cooper Research
Breadcrumb
Home  /   Med Ed Blogs
Connect the Docs

Cooper Research Connections

October 09 2019
Cooper's Research Connections is a blog dedicated to
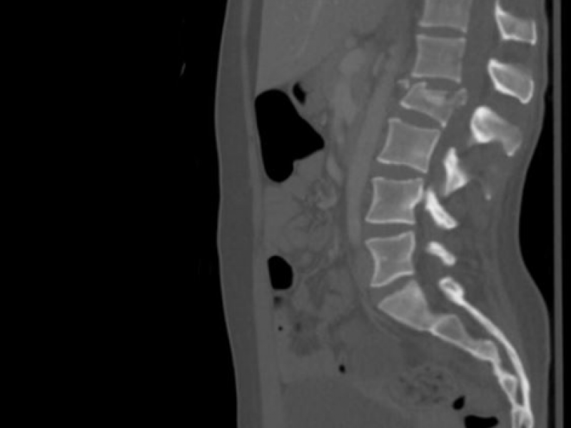
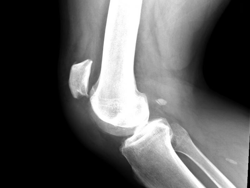
What's the Diagnosis?  By Dr. Lynn Manganiello
EM Daily

What's the Diagnosis? By Dr. Lynn Manganiello

October 09 2019
A 59 yo male presents after fall from standing with right
Critical Cases - Refractory SVT in the ED!
EM Daily

Critical Cases - Refractory SVT in the ED!

October 08 2019
Step 1 - Modified Valsalva Have the pt lie in semi-recumbent
Back to Basics: A common rash
EM Daily

Back to Basics: A common rash

October 07 2019
12 yo male with no significant pmh presents to the ED with a
Board Review: Revive Me!
EM Daily

Board Review: Revive Me!

October 05 2019
A trauma alert is called for a 20-year-old male involved in
Ventilator graphic analysis: Obstructive lung disease
EM Daily

Ventilator graphic analysis: Obstructive lung disease

October 04 2019
Ventilator graphics provide a rapid display of a patient's
#EMConf: PEA Arrest and Hs & Ts
EM Daily

#EMConf: PEA Arrest and Hs & Ts

October 03 2019
What's the Diagnosis? By Dr. Katie Selman
EM Daily

What's the Diagnosis? By Dr. Katie Selman

October 02 2019
A 30 yo F with no past medical history presents to the ED
EM Daily

Interesting case of Pericarditis

October 01 2019
HPI: 69 yo M, PMHx Lung Adenocarcinoma recently started on
Back to Basics:  Non-Traumatic Subarachnoid Hemorrhage Treatment
EM Daily

Back to Basics: Non-Traumatic Subarachnoid Hemorrhage Treatment

September 30 2019
Non-traumatic Subarachnoid Hemorrhage Treatment Maintain
  • First page
  • Previous page
  • …
  • Page 132
  • Page 133
  • Current page 134
  • Page 135
  • Page 136
  • …
  • Next page
  • Last page
Blogs

Hospital Main Number

856.342.2000

Main Hospital Website

COOPERHEALTH.ORG

Cooper Health

Programs

  • Residencies
  • Fellowships
  • Nursing Education
  • Allied Health
  • CME
  • Life Support Training

More from Cooper

  • Research
  • Resident Wellness
  • Medical School
  • Our Campus
  • Main Hospital
  • Privacy Statement
  • FastCommand

1.800.8.COOPER (1.800.826.6737)

Contact Us

Cooper University Health Care's Main Website

This website is for informational purposes only and not intended as medical advice or a substitute for a consultation with a professional healthcare provider.

All content © 2022 Cooper University Health Care.

Menu
Education Home
Health System Home
Search

Main Navigation

  • RESIDENCIES
  • FELLOWSHIPS
  • NURSING AT COOPER
  • RESEARCH
  • INNOVATION CENTER

Tired of Typing? Let's Talk.

Call 1.800.8.COOPER to speak with a Cooper representative who can answer your questions, schedule appointments and register you for classes, events and support groups.

Representatives are available Monday through Friday from 8 a.m. - 5 p.m. to assist you.

Enter your phone number below and we will connect you for free.