Skip to main content
Home
Menu

Search Cooper


Popular Terms and Topics

  • Internal Medicine Residency
  • Surgical Critical Care Fellowship
  • Gastroenterology Fellowship
  • Neurology Residency
  • Cooper Research
Breadcrumb
Home  /   Med Ed Blogs
EM Daily

#EMConf: Acute Radiation Syndrome

September 19 2019
Measurement of radiation: Grays (1 Gy = 100 rad) must be
What's the Diagnosis? By Dr. Loran Hatch
EM Daily

What's the Diagnosis? By Dr. Loran Hatch

September 18 2019
8 yo F presents to the ED c/o L hip pain. Reports fall 1
EM Daily

Interesting Cases: Post-Partum Headache

September 17 2019
HPI: 24 yo F, 2 weeks postpartum from full-term
Back to Basics: Anaphylaxis
EM Daily

Back to Basics: Anaphylaxis

September 16 2019
Want a little extra anaphylaxis review? Check out some of
Board Review: Bugs and Drugs
EM Daily

Board Review: Bugs and Drugs

September 14 2019
70 year old male presents with complaint of cramping lower
Mechanical ventilation: breath types and modes
EM Daily

Mechanical ventilation: breath types and modes

September 13 2019
Tidal breaths delivered during mechanical ventilation are
EM Daily

#EMConf: Are there Variations in Blood Pressure Monitoring Using Central vs. Peripheral Arterial Lines in Critically Ill Patients

September 12 2019
Summary of Methods/Findings: Study #1: A prospective
Life at the Coop

Wellness Wednesday: Financial Wellness

September 11 2019
While not the most important thing in life, financial health
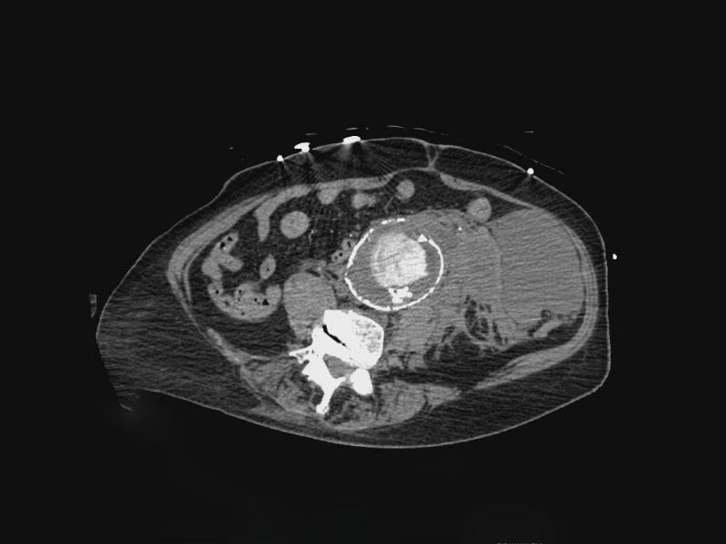
What's the diagnosis? By Dr. Angela Ugorets
EM Daily

What's the diagnosis? By Dr. Angela Ugorets

September 11 2019
An 81 yo female presents to the ED with abdominal pain for 3
EM Daily

Advanced Cases: Seizure in the Elderly

September 10 2019
68 y/o female with PMH of diabetes, hyperlipidemia, and HTN
  • First page
  • Previous page
  • …
  • Page 134
  • Page 135
  • Current page 136
  • Page 137
  • Page 138
  • …
  • Next page
  • Last page
Blogs

Hospital Main Number

856.342.2000

Main Hospital Website

COOPERHEALTH.ORG

Cooper Health

Programs

  • Residencies
  • Fellowships
  • Nursing Education
  • Allied Health
  • CME
  • Life Support Training

More from Cooper

  • Research
  • Resident Wellness
  • Medical School
  • Our Campus
  • Main Hospital
  • Privacy Statement
  • FastCommand

1.800.8.COOPER (1.800.826.6737)

Contact Us

Cooper University Health Care's Main Website

This website is for informational purposes only and not intended as medical advice or a substitute for a consultation with a professional healthcare provider.

All content © 2022 Cooper University Health Care.

Menu
Education Home
Health System Home
Search

Main Navigation

  • RESIDENCIES
  • FELLOWSHIPS
  • NURSING AT COOPER
  • RESEARCH
  • INNOVATION CENTER

Tired of Typing? Let's Talk.

Call 1.800.8.COOPER to speak with a Cooper representative who can answer your questions, schedule appointments and register you for classes, events and support groups.

Representatives are available Monday through Friday from 8 a.m. - 5 p.m. to assist you.

Enter your phone number below and we will connect you for free.