Skip to main content
Home
Menu

Search Cooper


Popular Terms and Topics

  • Internal Medicine Residency
  • Surgical Critical Care Fellowship
  • Gastroenterology Fellowship
  • Neurology Residency
  • Cooper Research
Breadcrumb
Home  /   Med Ed Blogs
Board Review: Orthopedics
EM Daily

Board Review: Orthopedics

March 01 2019
An 8 year old girl presents to your emergency department
Board Review: Orthopedics
EM Daily

Board Review: Orthopedics

March 01 2019
An 8 year old girl presents to your emergency department
EM Daily

#EMConf: Kidney Stones

February 28 2019
Who gets CT? Avoid ordering CT of the abdomen and pelvis in
EM Daily

#EMConf: Kidney Stones

February 28 2019
Who gets CT? Avoid ordering CT of the abdomen and pelvis in
What's the Diagnosis? By Dr. Loran Hatch
EM Daily

What's the Diagnosis? By Dr. Loran Hatch

February 27 2019
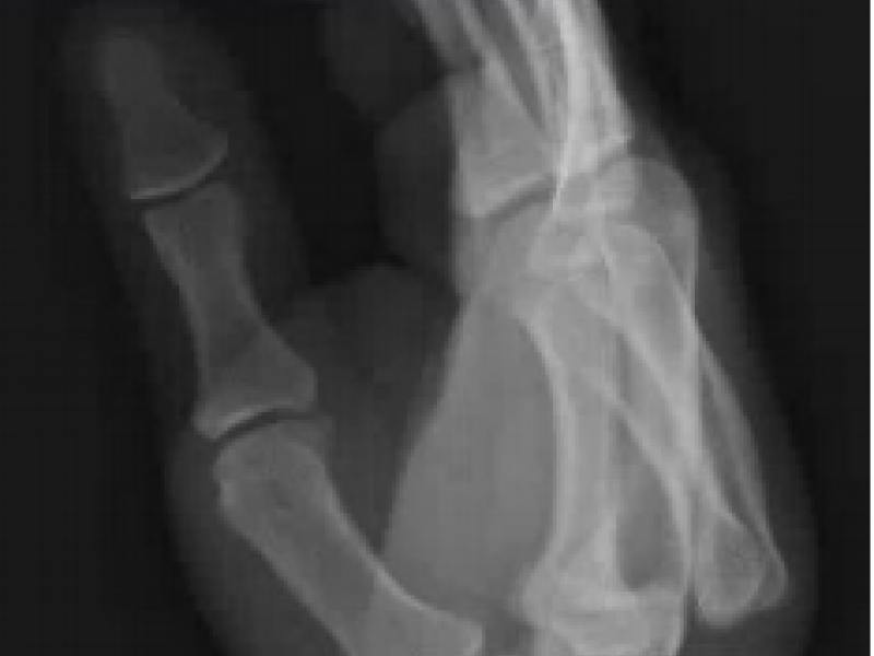
A 35 yo M presents to the ED complaining of R hand pain
What's the Diagnosis? By Dr. Loran Hatch
EM Daily

What's the Diagnosis? By Dr. Loran Hatch

February 27 2019
A 35 yo M presents to the ED complaining of R hand pain
Back to Basics: Wolff-Parkinson-White (WPW)
EM Daily

Back to Basics: Wolff-Parkinson-White (WPW)

February 25 2019
Reference: Brady, William J., et al.. "Cardiac Rhythm
Back to Basics: Wolff-Parkinson-White (WPW)
EM Daily

Back to Basics: Wolff-Parkinson-White (WPW)

February 25 2019
Reference: Brady, William J., et al.. "Cardiac Rhythm
EM Daily

Board Review: Rabies

February 22 2019
Which of the following animals is LEAST LIKELY to be rabid?
EM Daily

Board Review: Rabies

February 22 2019
Which of the following animals is LEAST LIKELY to be rabid?
  • First page
  • Previous page
  • …
  • Page 149
  • Page 150
  • Current page 151
  • Page 152
  • Page 153
  • …
  • Next page
  • Last page
Blogs

Hospital Main Number

856.342.2000

Main Hospital Website

COOPERHEALTH.ORG

Cooper Health

Programs

  • Residencies
  • Fellowships
  • Nursing Education
  • Allied Health
  • CME
  • Life Support Training

More from Cooper

  • Research
  • Resident Wellness
  • Medical School
  • Our Campus
  • Main Hospital
  • Privacy Statement
  • FastCommand

1.800.8.COOPER (1.800.826.6737)

Contact Us

Cooper University Health Care's Main Website

This website is for informational purposes only and not intended as medical advice or a substitute for a consultation with a professional healthcare provider.

All content © 2022 Cooper University Health Care.

Menu
Education Home
Health System Home
Search

Main Navigation

  • RESIDENCIES
  • FELLOWSHIPS
  • NURSING AT COOPER
  • RESEARCH
  • INNOVATION CENTER

Tired of Typing? Let's Talk.

Call 1.800.8.COOPER to speak with a Cooper representative who can answer your questions, schedule appointments and register you for classes, events and support groups.

Representatives are available Monday through Friday from 8 a.m. - 5 p.m. to assist you.

Enter your phone number below and we will connect you for free.