Skip to main content
Home
Menu

Search Cooper


Popular Terms and Topics

  • Internal Medicine Residency
  • Surgical Critical Care Fellowship
  • Gastroenterology Fellowship
  • Neurology Residency
  • Cooper Research
Breadcrumb
Home  /   Med Ed Blogs
What's the Diagnosis? By Dr. Lesley Walinchus-Foster
EM Daily

What's the Diagnosis? By Dr. Lesley Walinchus-Foster

February 13 2019
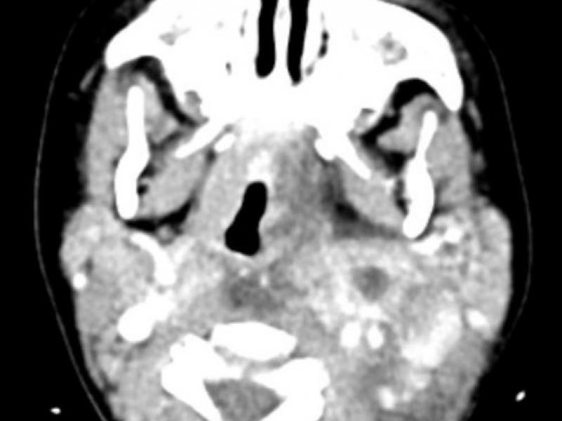
A 17 month old male with no past medical history presents to
What's the Diagnosis? By Dr. Lesley Walinchus-Foster
EM Daily

What's the Diagnosis? By Dr. Lesley Walinchus-Foster

February 13 2019
A 17 month old male with no past medical history presents to
EM Daily

Advanced Practice: Catheter Associated Asymptomatic Bacteriuria and Urinary Tract Infections

February 12 2019
Catheter Associated Asymptomatic Bacteriuria and Urinary
EM Daily

Advanced Practice: Catheter Associated Asymptomatic Bacteriuria and Urinary Tract Infections

February 12 2019
Catheter Associated Asymptomatic Bacteriuria and Urinary
EM Daily

Board Review: Orthopedics

February 09 2019
Which of the following is the most common upper extremity
EM Daily

Board Review: Orthopedics

February 09 2019
Which of the following is the most common upper extremity
EM Daily

#EMConf: Should We Order Blood Cultures in the Emergency Department for Patients Admitted with Cellulitis?

February 07 2019
The Bottom Line : Emergency medicine providers over-order
EM Daily

#EMConf: Should We Order Blood Cultures in the Emergency Department for Patients Admitted with Cellulitis?

February 07 2019
The Bottom Line : Emergency medicine providers over-order
What's the diagnosis?  By Dr. Erica Schramm
EM Daily

What's the diagnosis? By Dr. Erica Schramm

February 06 2019
A 60 yo female presents with shortness of breath. She is a
What's the diagnosis?  By Dr. Erica Schramm
EM Daily

What's the diagnosis? By Dr. Erica Schramm

February 06 2019
A 60 yo female presents with shortness of breath. She is a
  • First page
  • Previous page
  • …
  • Page 151
  • Page 152
  • Current page 153
  • Page 154
  • Page 155
  • …
  • Next page
  • Last page
Blogs

Hospital Main Number

856.342.2000

Main Hospital Website

COOPERHEALTH.ORG

Cooper Health

Programs

  • Residencies
  • Fellowships
  • Nursing Education
  • Allied Health
  • CME
  • Life Support Training

More from Cooper

  • Research
  • Resident Wellness
  • Medical School
  • Our Campus
  • Main Hospital
  • Privacy Statement
  • FastCommand

1.800.8.COOPER (1.800.826.6737)

Contact Us

Cooper University Health Care's Main Website

This website is for informational purposes only and not intended as medical advice or a substitute for a consultation with a professional healthcare provider.

All content © 2022 Cooper University Health Care.

Menu
Education Home
Health System Home
Search

Main Navigation

  • RESIDENCIES
  • FELLOWSHIPS
  • NURSING AT COOPER
  • RESEARCH
  • INNOVATION CENTER

Tired of Typing? Let's Talk.

Call 1.800.8.COOPER to speak with a Cooper representative who can answer your questions, schedule appointments and register you for classes, events and support groups.

Representatives are available Monday through Friday from 8 a.m. - 5 p.m. to assist you.

Enter your phone number below and we will connect you for free.