Skip to main content
Home
Menu

Search Cooper


Popular Terms and Topics

  • Internal Medicine Residency
  • Surgical Critical Care Fellowship
  • Gastroenterology Fellowship
  • Neurology Residency
  • Cooper Research
Breadcrumb
Home  /   Med Ed Blogs
Back to Basics: Acute Renal Failure
EM Daily

Back to Basics: Acute Renal Failure

December 17 2018
Pearls: ARF can lead to: volume overload, hypertension
EM Daily

Board Review: Trauma

December 15 2018
A 23 year old male presents to your emergency department
EM Daily

Board Review: Trauma

December 15 2018
A 23 year old male presents to your emergency department
What's the Diagnosis?  By Dr. Katherine Selman
EM Daily

What's the Diagnosis? By Dr. Katherine Selman

December 12 2018
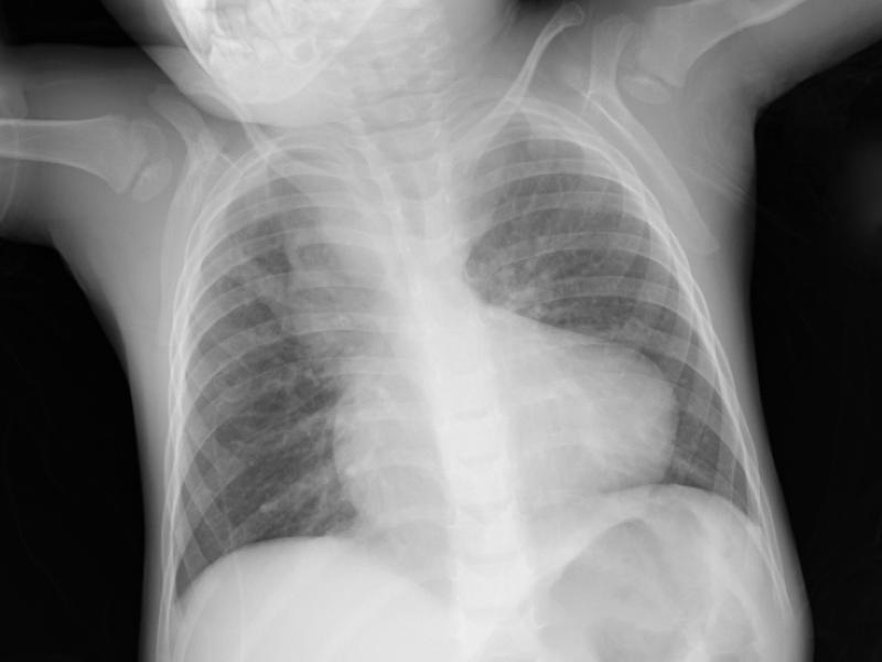
An 18-month-old male presents with his parents who have
What's the Diagnosis?  By Dr. Katherine Selman
EM Daily

What's the Diagnosis? By Dr. Katherine Selman

December 12 2018
An 18-month-old male presents with his parents who have
Advanced Practice: Acute Febrile Neutrophilic Dermatosis
EM Daily

Advanced Practice: Acute Febrile Neutrophilic Dermatosis

December 11 2018
Dermatology was consulted to perform a biopsy which showed
Advanced Practice: Acute Febrile Neutrophilic Dermatosis
EM Daily

Advanced Practice: Acute Febrile Neutrophilic Dermatosis

December 11 2018
Dermatology was consulted to perform a biopsy which showed
EM Daily

Back to Basics: Methanol and Ethylene Glycol Toxicity

December 10 2018
Background Methanol found in paint products, windshield
EM Daily

Back to Basics: Methanol and Ethylene Glycol Toxicity

December 10 2018
Background Methanol found in paint products, windshield
EM Daily

Board Review: Cervical Spine Injury

December 07 2018
Which of the following is considered a STABLE cervical spine
  • First page
  • Previous page
  • …
  • Page 160
  • Page 161
  • Current page 162
  • Page 163
  • Page 164
  • …
  • Next page
  • Last page
Blogs

Hospital Main Number

856.342.2000

Main Hospital Website

COOPERHEALTH.ORG

Cooper Health

Programs

  • Residencies
  • Fellowships
  • Nursing Education
  • Allied Health
  • CME
  • Life Support Training

More from Cooper

  • Research
  • Resident Wellness
  • Medical School
  • Our Campus
  • Main Hospital
  • Privacy Statement
  • FastCommand

1.800.8.COOPER (1.800.826.6737)

Contact Us

Cooper University Health Care's Main Website

This website is for informational purposes only and not intended as medical advice or a substitute for a consultation with a professional healthcare provider.

All content © 2022 Cooper University Health Care.

Menu
Education Home
Health System Home
Search

Main Navigation

  • RESIDENCIES
  • FELLOWSHIPS
  • NURSING AT COOPER
  • RESEARCH
  • INNOVATION CENTER

Tired of Typing? Let's Talk.

Call 1.800.8.COOPER to speak with a Cooper representative who can answer your questions, schedule appointments and register you for classes, events and support groups.

Representatives are available Monday through Friday from 8 a.m. - 5 p.m. to assist you.

Enter your phone number below and we will connect you for free.