Skip to main content
Home
Menu

Search Cooper


Popular Terms and Topics

  • Internal Medicine Residency
  • Surgical Critical Care Fellowship
  • Gastroenterology Fellowship
  • Neurology Residency
  • Cooper Research
Breadcrumb
Home  /   Med Ed Blogs
EM Daily

#EMConf: Flomax and Ureteral Stone Expulsion Rates

November 29 2018
The Bottom Line: Tamsulosin for 28 days does not appear to
EM Daily

#EMConf: Flomax and Ureteral Stone Expulsion Rates

November 29 2018
The Bottom Line: Tamsulosin for 28 days does not appear to
What's the Diagnosis?  By Dr. Erica Schramm
EM Daily

What's the Diagnosis? By Dr. Erica Schramm

November 28 2018
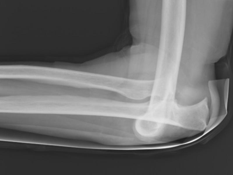
A 70 year old female with a history of osteoporosis presents
What's the Diagnosis?  By Dr. Erica Schramm
EM Daily

What's the Diagnosis? By Dr. Erica Schramm

November 28 2018
A 70 year old female with a history of osteoporosis presents
EM Daily

Advanced Practice: ACEP Guidelines Advocate for Discharge of Low Risk Chest Pain Patients!

November 27 2018
Here are the most interesting new guidelines with a "bottom
EM Daily

Advanced Practice: ACEP Guidelines Advocate for Discharge of Low Risk Chest Pain Patients!

November 27 2018
Here are the most interesting new guidelines with a "bottom
EM Daily

Back to Basics: Transfusion Related Reactions

November 26 2018
ACUTE Immune Mediated Intravascular Hemolytic Transfusion
EM Daily

Back to Basics: Transfusion Related Reactions

November 26 2018
ACUTE Immune Mediated Intravascular Hemolytic Transfusion
EM Daily

Board Review: Anti-epileptics

November 24 2018
Which anti-epileptic is most likely to cause hyponatremia? A
EM Daily

Board Review: Anti-epileptics

November 24 2018
Which anti-epileptic is most likely to cause hyponatremia? A
  • First page
  • Previous page
  • …
  • Page 162
  • Page 163
  • Current page 164
  • Page 165
  • Page 166
  • …
  • Next page
  • Last page
Blogs

Hospital Main Number

856.342.2000

Main Hospital Website

COOPERHEALTH.ORG

Cooper Health

Programs

  • Residencies
  • Fellowships
  • Nursing Education
  • Allied Health
  • CME
  • Life Support Training

More from Cooper

  • Research
  • Resident Wellness
  • Medical School
  • Our Campus
  • Main Hospital
  • Privacy Statement
  • FastCommand

1.800.8.COOPER (1.800.826.6737)

Contact Us

Cooper University Health Care's Main Website

This website is for informational purposes only and not intended as medical advice or a substitute for a consultation with a professional healthcare provider.

All content © 2022 Cooper University Health Care.

Menu
Education Home
Health System Home
Search

Main Navigation

  • RESIDENCIES
  • FELLOWSHIPS
  • NURSING AT COOPER
  • RESEARCH
  • INNOVATION CENTER

Tired of Typing? Let's Talk.

Call 1.800.8.COOPER to speak with a Cooper representative who can answer your questions, schedule appointments and register you for classes, events and support groups.

Representatives are available Monday through Friday from 8 a.m. - 5 p.m. to assist you.

Enter your phone number below and we will connect you for free.