Skip to main content
Home
Menu

Search Cooper


Popular Terms and Topics

  • Internal Medicine Residency
  • Surgical Critical Care Fellowship
  • Gastroenterology Fellowship
  • Neurology Residency
  • Cooper Research
Breadcrumb
Home  /   Med Ed Blogs
EM Daily

Board Review: Infectious Disease

November 03 2018
A 52 year old male with history of asplenia after a car
EM Daily

Heat Stroke

November 02 2018
Heat Stroke Signs and symptoms Altered mental status is a
EM Daily

Heat Stroke

November 02 2018
Heat Stroke Signs and symptoms Altered mental status is a
EM Daily

#EMConf: Management of Tick Borne Illnesses

November 01 2018
Consider tick borne illness when: Influenza-like illness
EM Daily

#EMConf: Management of Tick Borne Illnesses

November 01 2018
Consider tick borne illness when: Influenza-like illness
What's the diagnosis?  By Dr. Michael Tom
EM Daily

What's the diagnosis? By Dr. Michael Tom

October 31 2018
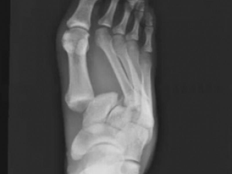
A 25 yo male presents after an MVC with severe right foot
What's the diagnosis?  By Dr. Michael Tom
EM Daily

What's the diagnosis? By Dr. Michael Tom

October 31 2018
A 25 yo male presents after an MVC with severe right foot
EM Daily

Advanced Practice: Urine Collection in the Febrile Infant

October 30 2018
Options for Urine Collection 1. Suprapubic aspiration
EM Daily

Advanced Practice: Urine Collection in the Febrile Infant

October 30 2018
Options for Urine Collection 1. Suprapubic aspiration
Back to Basics: Febrile Infant
EM Daily

Back to Basics: Febrile Infant

October 29 2018
References: Hamilton JL and John SP. "Evaluation of Fever in
  • First page
  • Previous page
  • …
  • Page 166
  • Page 167
  • Current page 168
  • Page 169
  • Page 170
  • …
  • Next page
  • Last page
Blogs

Hospital Main Number

856.342.2000

Main Hospital Website

COOPERHEALTH.ORG

Cooper Health

Programs

  • Residencies
  • Fellowships
  • Nursing Education
  • Allied Health
  • CME
  • Life Support Training

More from Cooper

  • Research
  • Resident Wellness
  • Medical School
  • Our Campus
  • Main Hospital
  • Privacy Statement
  • FastCommand

1.800.8.COOPER (1.800.826.6737)

Contact Us

Cooper University Health Care's Main Website

This website is for informational purposes only and not intended as medical advice or a substitute for a consultation with a professional healthcare provider.

All content © 2022 Cooper University Health Care.

Menu
Education Home
Health System Home
Search

Main Navigation

  • RESIDENCIES
  • FELLOWSHIPS
  • NURSING AT COOPER
  • RESEARCH
  • INNOVATION CENTER

Tired of Typing? Let's Talk.

Call 1.800.8.COOPER to speak with a Cooper representative who can answer your questions, schedule appointments and register you for classes, events and support groups.

Representatives are available Monday through Friday from 8 a.m. - 5 p.m. to assist you.

Enter your phone number below and we will connect you for free.