Skip to main content
Home
Menu

Search Cooper


Popular Terms and Topics

  • Internal Medicine Residency
  • Surgical Critical Care Fellowship
  • Gastroenterology Fellowship
  • Neurology Residency
  • Cooper Research
Breadcrumb
Home  /   Med Ed Blogs
EM Daily

Board Review: Hyperthermia and Altered Mental Status

November 17 2018
A 40 year old man presents via ambulance after he was found
EM Daily

Board Review: Hyperthermia and Altered Mental Status

November 17 2018
A 40 year old man presents via ambulance after he was found
Connect the Docs

Ambulatory Clinical Documentation Improvement Tip Sheets

November 16 2018
Please click and save the tip sheets below to help with your
EM Daily

MedMalMonthly: Malpractice Insurance Basics

November 15 2018
Terms: Policy - Insurance is purchased through this
EM Daily

MedMalMonthly: Malpractice Insurance Basics

November 15 2018
Terms: Policy - Insurance is purchased through this
What's the Diagnosis?  By Dr. Loran Hatch
EM Daily

What's the Diagnosis? By Dr. Loran Hatch

November 14 2018
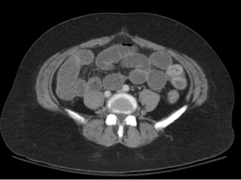
A 45 yo female with a hx of Crohn's disease and multiple
What's the Diagnosis?  By Dr. Loran Hatch
EM Daily

What's the Diagnosis? By Dr. Loran Hatch

November 14 2018
A 45 yo female with a hx of Crohn's disease and multiple
EM Daily

Advanced Practice: Electrolyte Management in DKA!

November 13 2018
Potassium Most DKA patients are whole body depleted on
EM Daily

Advanced Practice: Electrolyte Management in DKA!

November 13 2018
Potassium Most DKA patients are whole body depleted on
Back to Basics: Digit Flexor Tendons
EM Daily

Back to Basics: Digit Flexor Tendons

November 12 2018
References: Davenport M, Tang P. "Injuries to the Hand and
  • First page
  • Previous page
  • …
  • Page 164
  • Page 165
  • Current page 166
  • Page 167
  • Page 168
  • …
  • Next page
  • Last page
Blogs

Hospital Main Number

856.342.2000

Main Hospital Website

COOPERHEALTH.ORG

Cooper Health

Programs

  • Residencies
  • Fellowships
  • Nursing Education
  • Allied Health
  • CME
  • Life Support Training

More from Cooper

  • Research
  • Resident Wellness
  • Medical School
  • Our Campus
  • Main Hospital
  • Privacy Statement
  • FastCommand

1.800.8.COOPER (1.800.826.6737)

Contact Us

Cooper University Health Care's Main Website

This website is for informational purposes only and not intended as medical advice or a substitute for a consultation with a professional healthcare provider.

All content © 2022 Cooper University Health Care.

Menu
Education Home
Health System Home
Search

Main Navigation

  • RESIDENCIES
  • FELLOWSHIPS
  • NURSING AT COOPER
  • RESEARCH
  • INNOVATION CENTER

Tired of Typing? Let's Talk.

Call 1.800.8.COOPER to speak with a Cooper representative who can answer your questions, schedule appointments and register you for classes, events and support groups.

Representatives are available Monday through Friday from 8 a.m. - 5 p.m. to assist you.

Enter your phone number below and we will connect you for free.