Skip to main content
Home
Menu

Search Cooper


Popular Terms and Topics

  • Internal Medicine Residency
  • Surgical Critical Care Fellowship
  • Gastroenterology Fellowship
  • Neurology Residency
  • Cooper Research
Breadcrumb
Home  /   Med Ed Blogs
EM Daily

Get That Central-Line Wire Back

September 14 2018
Placing a central-line isn't just one procedure...it's a
EM Daily

Get That Central-Line Wire Back

September 14 2018
Placing a central-line isn't just one procedure...it's a
EM Daily

#EMConf: Epistaxis

September 13 2018
Please refer to this post here.
EM Daily

#EMConf: Epistaxis

September 13 2018
Please refer to this post here.
What's the Diagnosis? By Dr. Loran Hatch
EM Daily

What's the Diagnosis? By Dr. Loran Hatch

September 12 2018
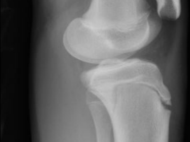
A 14 yo M presents to the ED complaining of L knee pain
What's the Diagnosis? By Dr. Loran Hatch
EM Daily

What's the Diagnosis? By Dr. Loran Hatch

September 12 2018
A 14 yo M presents to the ED complaining of L knee pain
EM Daily

Advanced Practice: High Flow Nasal Canula in Pediatrics!

September 11 2018
Background Optimal HFNC flow rates in children 3 yrs HFNC
EM Daily

Advanced Practice: High Flow Nasal Canula in Pediatrics!

September 11 2018
Background Optimal HFNC flow rates in children 3 yrs HFNC
EM Daily

Back to Basics: Approach to Atrial Fibrillation w RVR

September 10 2018
Approach to Atrial Fibrillation with RVR First Question
EM Daily

Back to Basics: Approach to Atrial Fibrillation w RVR

September 10 2018
Approach to Atrial Fibrillation with RVR First Question
  • First page
  • Previous page
  • …
  • Page 174
  • Page 175
  • Current page 176
  • Page 177
  • Page 178
  • …
  • Next page
  • Last page
Blogs

Hospital Main Number

856.342.2000

Main Hospital Website

COOPERHEALTH.ORG

Cooper Health

Programs

  • Residencies
  • Fellowships
  • Nursing Education
  • Allied Health
  • CME
  • Life Support Training

More from Cooper

  • Research
  • Resident Wellness
  • Medical School
  • Our Campus
  • Main Hospital
  • Privacy Statement
  • FastCommand

1.800.8.COOPER (1.800.826.6737)

Contact Us

Cooper University Health Care's Main Website

This website is for informational purposes only and not intended as medical advice or a substitute for a consultation with a professional healthcare provider.

All content © 2022 Cooper University Health Care.

Menu
Education Home
Health System Home
Search

Main Navigation

  • RESIDENCIES
  • FELLOWSHIPS
  • NURSING AT COOPER
  • RESEARCH
  • INNOVATION CENTER

Tired of Typing? Let's Talk.

Call 1.800.8.COOPER to speak with a Cooper representative who can answer your questions, schedule appointments and register you for classes, events and support groups.

Representatives are available Monday through Friday from 8 a.m. - 5 p.m. to assist you.

Enter your phone number below and we will connect you for free.