Skip to main content
Home
Menu

Search Cooper


Popular Terms and Topics

  • Internal Medicine Residency
  • Surgical Critical Care Fellowship
  • Gastroenterology Fellowship
  • Neurology Residency
  • Cooper Research
Breadcrumb
Home  /   Med Ed Blogs
EM Daily

Board Review: Toxicology

September 08 2018
A 25 year old female presents with plaquenil overdose. She
EM Daily

Board Review: Toxicology

September 08 2018
A 25 year old female presents with plaquenil overdose. She
EM Daily

MedMalMonthly: Chest Pain Pearls & Pitfalls

September 06 2018
The EKG: 25-40% of malpractice and ACS misdiagnosis in the
EM Daily

MedMalMonthly: Chest Pain Pearls & Pitfalls

September 06 2018
The EKG: 25-40% of malpractice and ACS misdiagnosis in the
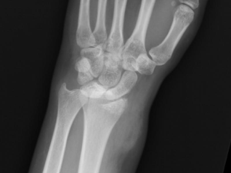
What's the diagnosis?  By Dr. Erica Schramm
EM Daily

What's the diagnosis? By Dr. Erica Schramm

September 05 2018
A 25 year old female presents after a motor vehicle
What's the diagnosis?  By Dr. Erica Schramm
EM Daily

What's the diagnosis? By Dr. Erica Schramm

September 05 2018
A 25 year old female presents after a motor vehicle
EM Daily

Advanced Practice - Hyperleukocytosis syndrome!

September 04 2018
The Bottom Line Consult heme onc on any patient with a
EM Daily

Advanced Practice - Hyperleukocytosis syndrome!

September 04 2018
The Bottom Line Consult heme onc on any patient with a
Back to Basics: Abnormal Uterine Bleeding
EM Daily

Back to Basics: Abnormal Uterine Bleeding

September 03 2018
References: BophalSarha Hang. Abnormal Uterine Bleeding. In
Back to Basics: Abnormal Uterine Bleeding
EM Daily

Back to Basics: Abnormal Uterine Bleeding

September 03 2018
References: BophalSarha Hang. Abnormal Uterine Bleeding. In
  • First page
  • Previous page
  • …
  • Page 175
  • Page 176
  • Current page 177
  • Page 178
  • Page 179
  • …
  • Next page
  • Last page
Blogs

Hospital Main Number

856.342.2000

Main Hospital Website

COOPERHEALTH.ORG

Cooper Health

Programs

  • Residencies
  • Fellowships
  • Nursing Education
  • Allied Health
  • CME
  • Life Support Training

More from Cooper

  • Research
  • Resident Wellness
  • Medical School
  • Our Campus
  • Main Hospital
  • Privacy Statement
  • FastCommand

1.800.8.COOPER (1.800.826.6737)

Contact Us

Cooper University Health Care's Main Website

This website is for informational purposes only and not intended as medical advice or a substitute for a consultation with a professional healthcare provider.

All content © 2022 Cooper University Health Care.

Menu
Education Home
Health System Home
Search

Main Navigation

  • RESIDENCIES
  • FELLOWSHIPS
  • NURSING AT COOPER
  • RESEARCH
  • INNOVATION CENTER

Tired of Typing? Let's Talk.

Call 1.800.8.COOPER to speak with a Cooper representative who can answer your questions, schedule appointments and register you for classes, events and support groups.

Representatives are available Monday through Friday from 8 a.m. - 5 p.m. to assist you.

Enter your phone number below and we will connect you for free.