Skip to main content
Home
Menu

Search Cooper


Popular Terms and Topics

  • Internal Medicine Residency
  • Surgical Critical Care Fellowship
  • Gastroenterology Fellowship
  • Neurology Residency
  • Cooper Research
Breadcrumb
Home  /   Med Ed Blogs
EM Daily

Back to Basics: Itching Rash

August 13 2018
Diagnosis: Hookworm-Related Cutaneous Larva Migrans -
EM Daily

Board Review: Drowning

August 11 2018
A 2 year old boy is brought to the Emergency Department
EM Daily

Board Review: Drowning

August 11 2018
A 2 year old boy is brought to the Emergency Department
EM Daily

Did you miss ResusEM2?

August 09 2018
Did you miss ResusEM2? Well, don't fret...for the next 24
EM Daily

Did you miss ResusEM2?

August 09 2018
Did you miss ResusEM2? Well, don't fret...for the next 24
EM Daily

#EMConf: Drowning

August 09 2018
General: The process of experiencing respiratory impairment
EM Daily

#EMConf: Drowning

August 09 2018
General: The process of experiencing respiratory impairment
What's the Diagnosis? By Dr. Erica Schramm
EM Daily

What's the Diagnosis? By Dr. Erica Schramm

August 08 2018
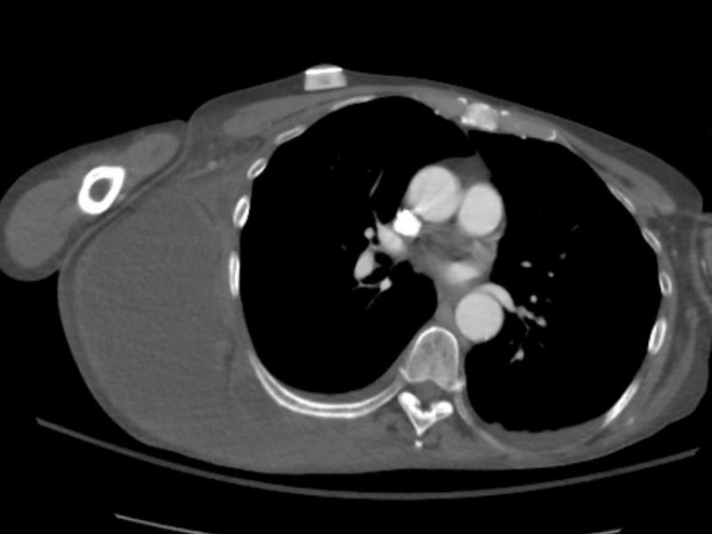
A 63 yo F w/ a history of colon cancer, prior PE (on lovenox
What's the Diagnosis? By Dr. Erica Schramm
EM Daily

What's the Diagnosis? By Dr. Erica Schramm

August 08 2018
A 63 yo F w/ a history of colon cancer, prior PE (on lovenox
EM Daily

Advanced Practice: Necrotizing Fasciitis Pearls

August 07 2018
Two microbiologic categories 1) Type 1 = Polymicrobial
  • First page
  • Previous page
  • …
  • Page 179
  • Page 180
  • Current page 181
  • Page 182
  • Page 183
  • …
  • Next page
  • Last page
Blogs

Hospital Main Number

856.342.2000

Main Hospital Website

COOPERHEALTH.ORG

Cooper Health

Programs

  • Residencies
  • Fellowships
  • Nursing Education
  • Allied Health
  • CME
  • Life Support Training

More from Cooper

  • Research
  • Resident Wellness
  • Medical School
  • Our Campus
  • Main Hospital
  • Privacy Statement
  • FastCommand

1.800.8.COOPER (1.800.826.6737)

Contact Us

Cooper University Health Care's Main Website

This website is for informational purposes only and not intended as medical advice or a substitute for a consultation with a professional healthcare provider.

All content © 2022 Cooper University Health Care.

Menu
Education Home
Health System Home
Search

Main Navigation

  • RESIDENCIES
  • FELLOWSHIPS
  • NURSING AT COOPER
  • RESEARCH
  • INNOVATION CENTER

Tired of Typing? Let's Talk.

Call 1.800.8.COOPER to speak with a Cooper representative who can answer your questions, schedule appointments and register you for classes, events and support groups.

Representatives are available Monday through Friday from 8 a.m. - 5 p.m. to assist you.

Enter your phone number below and we will connect you for free.