Skip to main content
Home
Menu

Search Cooper


Popular Terms and Topics

  • Internal Medicine Residency
  • Surgical Critical Care Fellowship
  • Gastroenterology Fellowship
  • Neurology Residency
  • Cooper Research
Breadcrumb
Home  /   Med Ed Blogs
What's the Diagnosis? By Dr. Erica Schramm
EM Daily

What's the Diagnosis? By Dr. Erica Schramm

August 01 2018
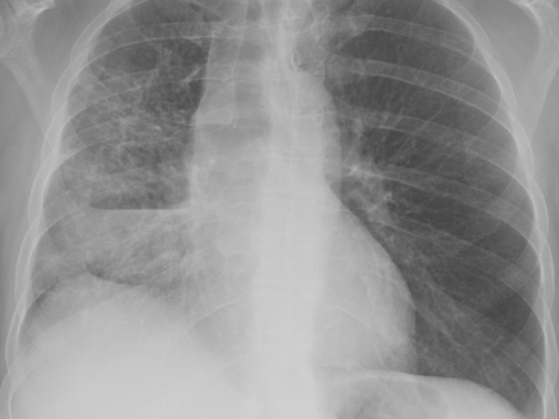
A 50 yo F with a history of poor dentition presents to the
What's the Diagnosis? By Dr. Erica Schramm
EM Daily

What's the Diagnosis? By Dr. Erica Schramm

August 01 2018
A 50 yo F with a history of poor dentition presents to the
Advanced Practice: Fever and Hemolytic Anemia....in New Jersey...
EM Daily

Advanced Practice: Fever and Hemolytic Anemia....in New Jersey...

July 31 2018
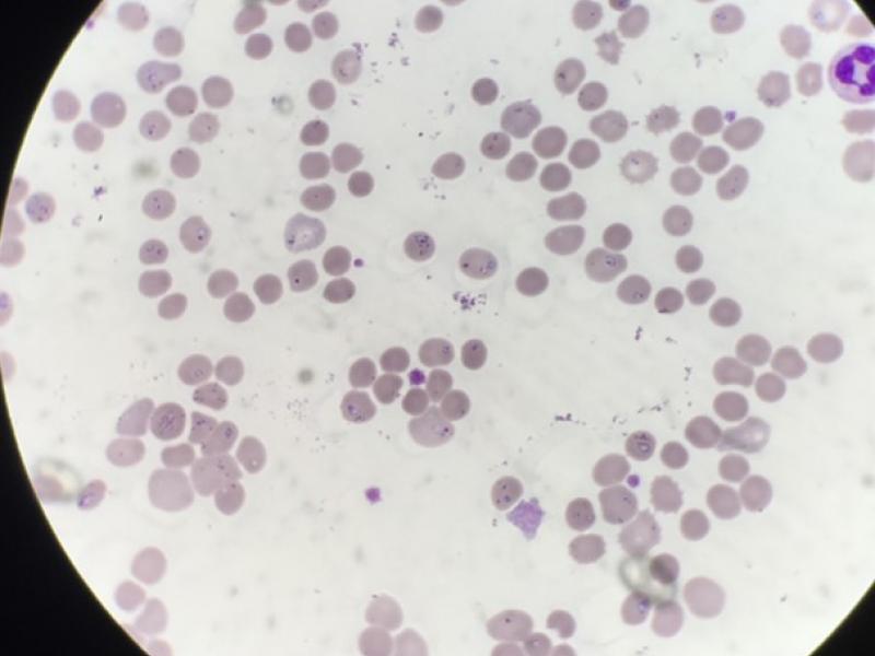
Babesios infection An astute lab technician notes something
Advanced Practice: Fever and Hemolytic Anemia....in New Jersey...
EM Daily

Advanced Practice: Fever and Hemolytic Anemia....in New Jersey...

July 31 2018
Babesios infection An astute lab technician notes something
EM Daily

ResusEM2 Bios and Schedule

July 30 2018
Welcome to the ResusEM2 page. Click here for bios Click here
EM Daily

ResusEM2 Bios and Schedule

July 30 2018
Welcome to the ResusEM2 page. Click here for bios Click here
Back to Basics:  Decompression Illness
EM Daily

Back to Basics: Decompression Illness

July 30 2018
References: Sykes O, Clark JE. Patent foramen ovale and
Back to Basics:  Decompression Illness
EM Daily

Back to Basics: Decompression Illness

July 30 2018
References: Sykes O, Clark JE. Patent foramen ovale and
EM Daily

Board Review: Heat Stroke

July 28 2018
A 76 year old female is brought to your ED by EMS on a hot
EM Daily

Board Review: Heat Stroke

July 28 2018
A 76 year old female is brought to your ED by EMS on a hot
  • First page
  • Previous page
  • …
  • Page 181
  • Page 182
  • Current page 183
  • Page 184
  • Page 185
  • …
  • Next page
  • Last page
Blogs

Hospital Main Number

856.342.2000

Main Hospital Website

COOPERHEALTH.ORG

Cooper Health

Programs

  • Residencies
  • Fellowships
  • Nursing Education
  • Allied Health
  • CME
  • Life Support Training

More from Cooper

  • Research
  • Resident Wellness
  • Medical School
  • Our Campus
  • Main Hospital
  • Privacy Statement
  • FastCommand

1.800.8.COOPER (1.800.826.6737)

Contact Us

Cooper University Health Care's Main Website

This website is for informational purposes only and not intended as medical advice or a substitute for a consultation with a professional healthcare provider.

All content © 2022 Cooper University Health Care.

Menu
Education Home
Health System Home
Search

Main Navigation

  • RESIDENCIES
  • FELLOWSHIPS
  • NURSING AT COOPER
  • RESEARCH
  • INNOVATION CENTER

Tired of Typing? Let's Talk.

Call 1.800.8.COOPER to speak with a Cooper representative who can answer your questions, schedule appointments and register you for classes, events and support groups.

Representatives are available Monday through Friday from 8 a.m. - 5 p.m. to assist you.

Enter your phone number below and we will connect you for free.