Skip to main content
Home
Menu

Search Cooper


Popular Terms and Topics

  • Internal Medicine Residency
  • Surgical Critical Care Fellowship
  • Gastroenterology Fellowship
  • Neurology Residency
  • Cooper Research
Breadcrumb
Home  /   Med Ed Blogs
What's the diagnosis?  By Dr. Michael Tom
EM Daily

What's the diagnosis? By Dr. Michael Tom

July 11 2018
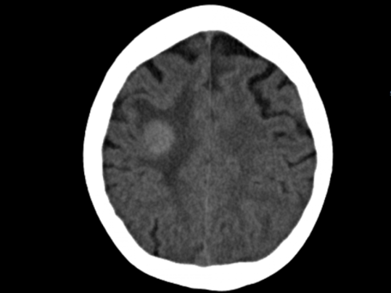
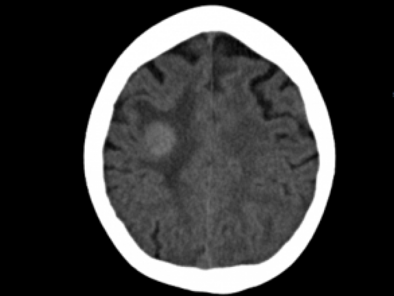
A 42 yo male presents to the ED after he was assaulted. He
What's the diagnosis?  By Dr. Michael Tom
EM Daily

What's the diagnosis? By Dr. Michael Tom

July 11 2018
A 42 yo male presents to the ED after he was assaulted. He
Advanced Practice - Practice Changing Landmark Peds DKA Study!
EM Daily

Advanced Practice - Practice Changing Landmark Peds DKA Study!

July 10 2018
Design Randomized controlled trial (unblinded) Inclusion 0
Advanced Practice - Practice Changing Landmark Peds DKA Study!
EM Daily

Advanced Practice - Practice Changing Landmark Peds DKA Study!

July 10 2018
Design Randomized controlled trial (unblinded) Inclusion 0
Back to Basics:  Forearm Fracture-Dislocations
EM Daily

Back to Basics: Forearm Fracture-Dislocations

July 09 2018
Back to Basics:  Forearm Fracture-Dislocations
EM Daily

Back to Basics: Forearm Fracture-Dislocations

July 09 2018
Week in Review: July 2-6th
EM Daily

Week in Review: July 2-6th

July 08 2018
Monday: Back to Basics - Kawaski Disease Clinical Diagnosis
Week in Review: July 2-6th
EM Daily

Week in Review: July 2-6th

July 08 2018
Monday: Back to Basics - Kawaski Disease Clinical Diagnosis
EM Daily

You've Just Intubated Your Patient...Now What?

July 06 2018
At ResusEM last year, Dr. Lars Peterson gave a great talk
EM Daily

You've Just Intubated Your Patient...Now What?

July 06 2018
At ResusEM last year, Dr. Lars Peterson gave a great talk
  • First page
  • Previous page
  • …
  • Page 185
  • Page 186
  • Current page 187
  • Page 188
  • Page 189
  • …
  • Next page
  • Last page
Blogs

Hospital Main Number

856.342.2000

Main Hospital Website

COOPERHEALTH.ORG

Cooper Health

Programs

  • Residencies
  • Fellowships
  • Nursing Education
  • Allied Health
  • CME
  • Life Support Training

More from Cooper

  • Research
  • Resident Wellness
  • Medical School
  • Our Campus
  • Main Hospital
  • Privacy Statement
  • FastCommand

1.800.8.COOPER (1.800.826.6737)

Contact Us

Cooper University Health Care's Main Website

This website is for informational purposes only and not intended as medical advice or a substitute for a consultation with a professional healthcare provider.

All content © 2022 Cooper University Health Care.

Menu
Education Home
Health System Home
Search

Main Navigation

  • RESIDENCIES
  • FELLOWSHIPS
  • NURSING AT COOPER
  • RESEARCH
  • INNOVATION CENTER

Tired of Typing? Let's Talk.

Call 1.800.8.COOPER to speak with a Cooper representative who can answer your questions, schedule appointments and register you for classes, events and support groups.

Representatives are available Monday through Friday from 8 a.m. - 5 p.m. to assist you.

Enter your phone number below and we will connect you for free.