Skip to main content
Home
Menu

Search Cooper


Popular Terms and Topics

  • Internal Medicine Residency
  • Surgical Critical Care Fellowship
  • Gastroenterology Fellowship
  • Neurology Residency
  • Cooper Research
Breadcrumb
Home  /   Med Ed Blogs
Board Review: Airway
EM Daily

Board Review: Airway

June 30 2018
A patient comes in for status epilepticus. You are concerned
#EMConf: Beyond BLS and ACLS
EM Daily

#EMConf: Beyond BLS and ACLS

June 28 2018
General: 2 things that really work in cardiac arrest are
#EMConf: Beyond BLS and ACLS
EM Daily

#EMConf: Beyond BLS and ACLS

June 28 2018
General: 2 things that really work in cardiac arrest are
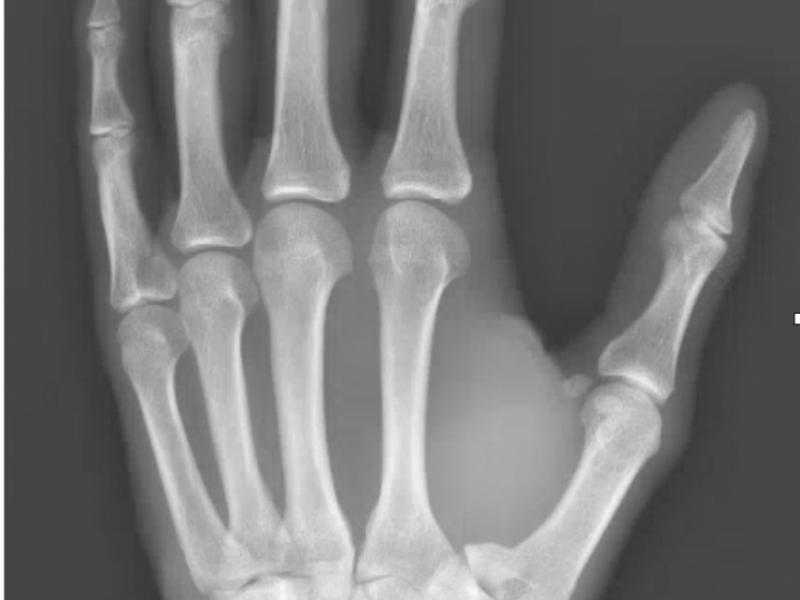
What's the diagnosis?  By Dr. Chris Smith
EM Daily

What's the diagnosis? By Dr. Chris Smith

June 27 2018
A 31 yo male presents with left thumb pain after a dirt bike
What's the diagnosis?  By Dr. Chris Smith
EM Daily

What's the diagnosis? By Dr. Chris Smith

June 27 2018
A 31 yo male presents with left thumb pain after a dirt bike
EM Daily

Advanced Practice: Physical Exam for Rotator Cuff Injuries

June 26 2018
4 tendons make up rotator cuff: 1) Supraspinatus - abduction
EM Daily

Advanced Practice: Physical Exam for Rotator Cuff Injuries

June 26 2018
4 tendons make up rotator cuff: 1) Supraspinatus - abduction
Connect the Docs

Patient Safety Moment - Dealing with Unexpected Suicidal Ideation

June 26 2018
Patient Safety Moment - Unexpected Suicidal Ideation After
Connect the Docs

Patient Safety Moment

June 25 2018
PATIENT SAFETY MOMENT Cooper is actively involved in a state
EM Daily

Back to Basics: First Metacarpal Fractures

June 25 2018
Three types: Extra-articular, Intra-articular, Sesamoid Bone
  • First page
  • Previous page
  • …
  • Page 187
  • Page 188
  • Current page 189
  • Page 190
  • Page 191
  • …
  • Next page
  • Last page
Blogs

Hospital Main Number

856.342.2000

Main Hospital Website

COOPERHEALTH.ORG

Cooper Health

Programs

  • Residencies
  • Fellowships
  • Nursing Education
  • Allied Health
  • CME
  • Life Support Training

More from Cooper

  • Research
  • Resident Wellness
  • Medical School
  • Our Campus
  • Main Hospital
  • Privacy Statement
  • FastCommand

1.800.8.COOPER (1.800.826.6737)

Contact Us

Cooper University Health Care's Main Website

This website is for informational purposes only and not intended as medical advice or a substitute for a consultation with a professional healthcare provider.

All content © 2022 Cooper University Health Care.

Menu
Education Home
Health System Home
Search

Main Navigation

  • RESIDENCIES
  • FELLOWSHIPS
  • NURSING AT COOPER
  • RESEARCH
  • INNOVATION CENTER

Tired of Typing? Let's Talk.

Call 1.800.8.COOPER to speak with a Cooper representative who can answer your questions, schedule appointments and register you for classes, events and support groups.

Representatives are available Monday through Friday from 8 a.m. - 5 p.m. to assist you.

Enter your phone number below and we will connect you for free.