Skip to main content
Home
Menu

Search Cooper


Popular Terms and Topics

  • Internal Medicine Residency
  • Surgical Critical Care Fellowship
  • Gastroenterology Fellowship
  • Neurology Residency
  • Cooper Research
Breadcrumb
Home  /   Med Ed Blogs
EM Daily

Board Review: Cardiology

June 02 2018
A 60-year-old man presents with chest pain. His EKG shows ST
EM Daily

Board Review: Cardiology

June 02 2018
A 60-year-old man presents with chest pain. His EKG shows ST
EM Daily

Managing Your Team During Cardiac Arrest

June 01 2018
CLick here for the video...and get ready for the next
EM Daily

Managing Your Team During Cardiac Arrest

June 01 2018
CLick here for the video...and get ready for the next
EM Daily

#EMConf: Case Control Study

May 31 2018
What: -Compare two groups of patients - one with disease
EM Daily

#EMConf: Case Control Study

May 31 2018
What: -Compare two groups of patients - one with disease
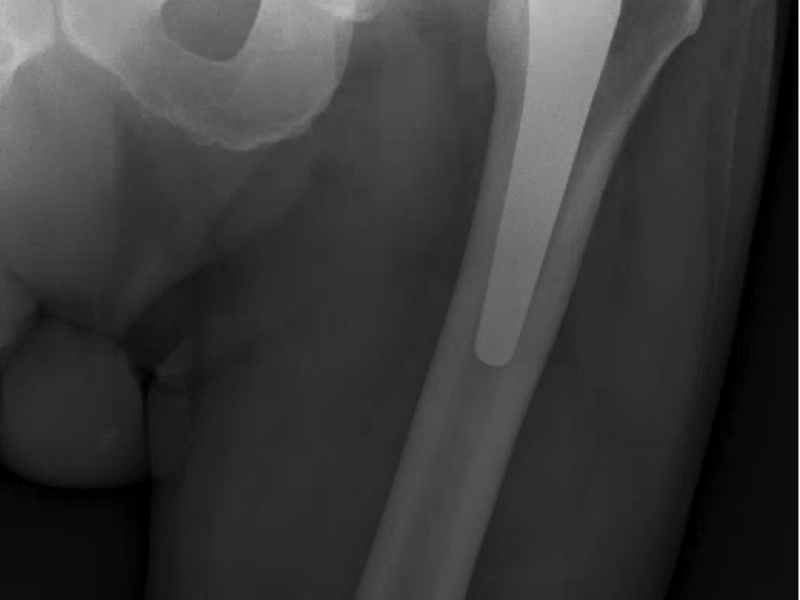
What's the Diagnosis? By Dr. Sarab Sodhi
EM Daily

What's the Diagnosis? By Dr. Sarab Sodhi

May 30 2018
A 62 yo male with a hx of bilateral hip replacements c/o, "I
What's the Diagnosis? By Dr. Sarab Sodhi
EM Daily

What's the Diagnosis? By Dr. Sarab Sodhi

May 30 2018
A 62 yo male with a hx of bilateral hip replacements c/o, "I
EM Daily

Advanced Practice - New Sepsis Guidelines Ignite Controversy!

May 29 2018
The major changes to the sepsis bundle: Initiation of bundle
EM Daily

Advanced Practice - New Sepsis Guidelines Ignite Controversy!

May 29 2018
The major changes to the sepsis bundle: Initiation of bundle
  • First page
  • Previous page
  • …
  • Page 192
  • Page 193
  • Current page 194
  • Page 195
  • Page 196
  • …
  • Next page
  • Last page
Blogs

Hospital Main Number

856.342.2000

Main Hospital Website

COOPERHEALTH.ORG

Cooper Health

Programs

  • Residencies
  • Fellowships
  • Nursing Education
  • Allied Health
  • CME
  • Life Support Training

More from Cooper

  • Research
  • Resident Wellness
  • Medical School
  • Our Campus
  • Main Hospital
  • Privacy Statement
  • FastCommand

1.800.8.COOPER (1.800.826.6737)

Contact Us

Cooper University Health Care's Main Website

This website is for informational purposes only and not intended as medical advice or a substitute for a consultation with a professional healthcare provider.

All content © 2022 Cooper University Health Care.

Menu
Education Home
Health System Home
Search

Main Navigation

  • RESIDENCIES
  • FELLOWSHIPS
  • NURSING AT COOPER
  • RESEARCH
  • INNOVATION CENTER

Tired of Typing? Let's Talk.

Call 1.800.8.COOPER to speak with a Cooper representative who can answer your questions, schedule appointments and register you for classes, events and support groups.

Representatives are available Monday through Friday from 8 a.m. - 5 p.m. to assist you.

Enter your phone number below and we will connect you for free.