Skip to main content
Home
Menu

Search Cooper


Popular Terms and Topics

  • Internal Medicine Residency
  • Surgical Critical Care Fellowship
  • Gastroenterology Fellowship
  • Neurology Residency
  • Cooper Research
Breadcrumb
Home  /   Med Ed Blogs
Back to Basics: Vaginal Bleeding in Late Pregnancy
EM Daily

Back to Basics: Vaginal Bleeding in Late Pregnancy

May 28 2018
Remember, DO NOT perform a digital exam! References
Back to Basics: Vaginal Bleeding in Late Pregnancy
EM Daily

Back to Basics: Vaginal Bleeding in Late Pregnancy

May 28 2018
Remember, DO NOT perform a digital exam! References
EM Daily

Board Review: Valvular Emergencies

May 26 2018
A 40 year old male with history of Marfan's Syndrome comes
EM Daily

Board Review: Valvular Emergencies

May 26 2018
A 40 year old male with history of Marfan's Syndrome comes
EM Daily

Nobody Cares About the RV

May 25 2018
Here's the video...and get ready for the next ResusEM on 8/1
EM Daily

Nobody Cares About the RV

May 25 2018
Here's the video...and get ready for the next ResusEM on 8/1
EM Daily

#EMConf: Predicting the Need for Liver Transplant in Acetaminophen-induced Liver Failure

May 24 2018
The most widely used criteria for predicting the need for
EM Daily

#EMConf: Predicting the Need for Liver Transplant in Acetaminophen-induced Liver Failure

May 24 2018
The most widely used criteria for predicting the need for
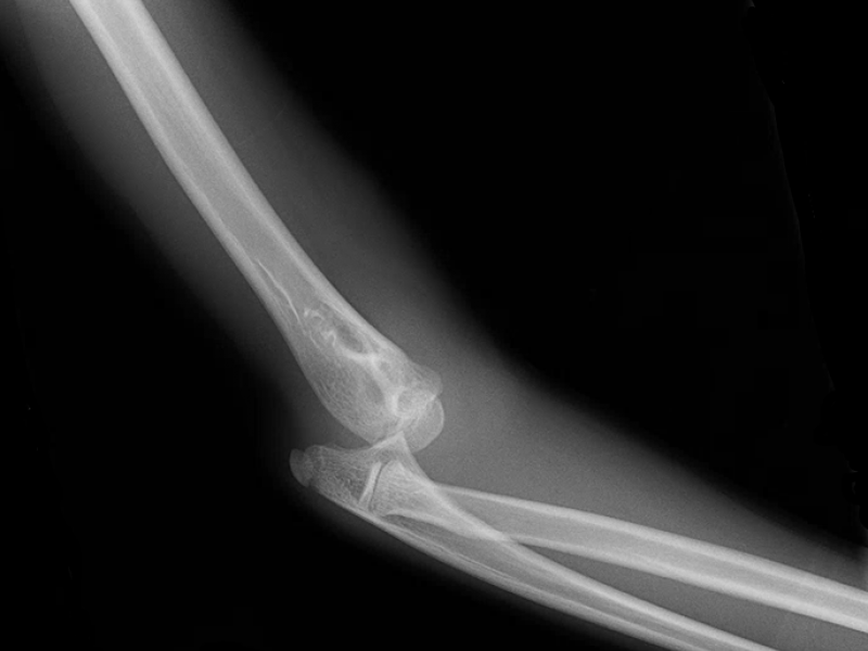
What's the Diagnosis? By Dr. Sarab Sodhi
EM Daily

What's the Diagnosis? By Dr. Sarab Sodhi

May 23 2018
A 13 yo F presents to the ED with R elbow pain after falling
What's the Diagnosis? By Dr. Sarab Sodhi
EM Daily

What's the Diagnosis? By Dr. Sarab Sodhi

May 23 2018
A 13 yo F presents to the ED with R elbow pain after falling
  • First page
  • Previous page
  • …
  • Page 193
  • Page 194
  • Current page 195
  • Page 196
  • Page 197
  • …
  • Next page
  • Last page
Blogs

Hospital Main Number

856.342.2000

Main Hospital Website

COOPERHEALTH.ORG

Cooper Health

Programs

  • Residencies
  • Fellowships
  • Nursing Education
  • Allied Health
  • CME
  • Life Support Training

More from Cooper

  • Research
  • Resident Wellness
  • Medical School
  • Our Campus
  • Main Hospital
  • Privacy Statement
  • FastCommand

1.800.8.COOPER (1.800.826.6737)

Contact Us

Cooper University Health Care's Main Website

This website is for informational purposes only and not intended as medical advice or a substitute for a consultation with a professional healthcare provider.

All content © 2022 Cooper University Health Care.

Menu
Education Home
Health System Home
Search

Main Navigation

  • RESIDENCIES
  • FELLOWSHIPS
  • NURSING AT COOPER
  • RESEARCH
  • INNOVATION CENTER

Tired of Typing? Let's Talk.

Call 1.800.8.COOPER to speak with a Cooper representative who can answer your questions, schedule appointments and register you for classes, events and support groups.

Representatives are available Monday through Friday from 8 a.m. - 5 p.m. to assist you.

Enter your phone number below and we will connect you for free.