Skip to main content
Home
Menu

Search Cooper


Popular Terms and Topics

  • Internal Medicine Residency
  • Surgical Critical Care Fellowship
  • Gastroenterology Fellowship
  • Neurology Residency
  • Cooper Research
Breadcrumb
Home  /   Med Ed Blogs
What's the Diagnosis? By Dr. Michael Tom
EM Daily

What's the Diagnosis? By Dr. Michael Tom

April 25 2018
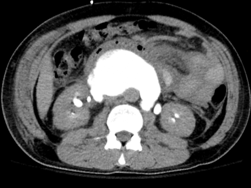
A 44 yo M with a remote history of testicular cancer and
What's the Diagnosis? By Dr. Michael Tom
EM Daily

What's the Diagnosis? By Dr. Michael Tom

April 25 2018
A 44 yo M with a remote history of testicular cancer and
EM Daily

Advanced Practice: Supportive Management of Critical Illness in Pregnancy

April 24 2018
General ● Resuscitation of mother means resuscitation of
EM Daily

Advanced Practice: Supportive Management of Critical Illness in Pregnancy

April 24 2018
General ● Resuscitation of mother means resuscitation of
EM Daily

Back to Basics: Peritonsillar Abscess

April 23 2018
Clinical Presentation: Sore Throat Voice Change Uvula
EM Daily

Back to Basics: Peritonsillar Abscess

April 23 2018
Clinical Presentation: Sore Throat Voice Change Uvula
Board Review: Orthopedics
EM Daily

Board Review: Orthopedics

April 21 2018
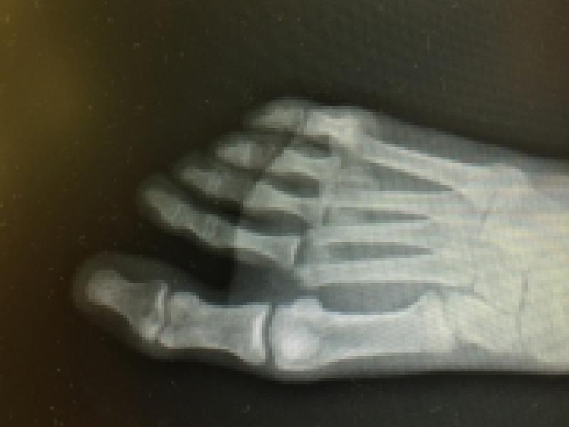
A 18M restrained driver is involved in a head-on motor
Board Review: Orthopedics
EM Daily

Board Review: Orthopedics

April 21 2018
A 18M restrained driver is involved in a head-on motor
Bicarbonate in Metabolic Acidosis
EM Daily

Bicarbonate in Metabolic Acidosis

April 21 2018
Krautz, J., MD, & Kurtz, I., MD. (2001). Use of Base in
Bicarbonate in Metabolic Acidosis
EM Daily

Bicarbonate in Metabolic Acidosis

April 21 2018
Krautz, J., MD, & Kurtz, I., MD. (2001). Use of Base in
  • First page
  • Previous page
  • …
  • Page 199
  • Page 200
  • Current page 201
  • Page 202
  • Page 203
  • …
  • Next page
  • Last page
Blogs

Hospital Main Number

856.342.2000

Main Hospital Website

COOPERHEALTH.ORG

Cooper Health

Programs

  • Residencies
  • Fellowships
  • Nursing Education
  • Allied Health
  • CME
  • Life Support Training

More from Cooper

  • Research
  • Resident Wellness
  • Medical School
  • Our Campus
  • Main Hospital
  • Privacy Statement
  • FastCommand

1.800.8.COOPER (1.800.826.6737)

Contact Us

Cooper University Health Care's Main Website

This website is for informational purposes only and not intended as medical advice or a substitute for a consultation with a professional healthcare provider.

All content © 2022 Cooper University Health Care.

Menu
Education Home
Health System Home
Search

Main Navigation

  • RESIDENCIES
  • FELLOWSHIPS
  • NURSING AT COOPER
  • RESEARCH
  • INNOVATION CENTER

Tired of Typing? Let's Talk.

Call 1.800.8.COOPER to speak with a Cooper representative who can answer your questions, schedule appointments and register you for classes, events and support groups.

Representatives are available Monday through Friday from 8 a.m. - 5 p.m. to assist you.

Enter your phone number below and we will connect you for free.