Skip to main content
Home
Menu

Search Cooper


Popular Terms and Topics

  • Internal Medicine Residency
  • Surgical Critical Care Fellowship
  • Gastroenterology Fellowship
  • Neurology Residency
  • Cooper Research
Breadcrumb
Home  /   Med Ed Blogs
EM Daily

#EMConf: Acute Hepatic Failure

April 19 2018
General: Severe liver disease in a patient without
EM Daily

#EMConf: Acute Hepatic Failure

April 19 2018
General: Severe liver disease in a patient without
What's the Diagnosis? By Dr. Michael Tom
EM Daily

What's the Diagnosis? By Dr. Michael Tom

April 18 2018
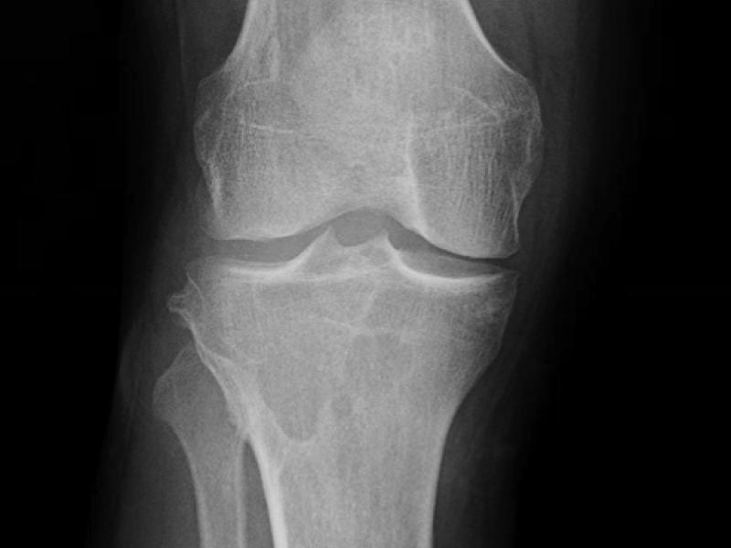
A 44 yo male presents with knee pain for one year. Pain is
What's the Diagnosis? By Dr. Michael Tom
EM Daily

What's the Diagnosis? By Dr. Michael Tom

April 18 2018
A 44 yo male presents with knee pain for one year. Pain is
EM Daily

Advanced Practice: Pitfalls in Myxedema Coma

April 17 2018
1. Not thinking of the diagnosis; this should be on your
EM Daily

Advanced Practice: Pitfalls in Myxedema Coma

April 17 2018
1. Not thinking of the diagnosis; this should be on your
Back to Basics: Complete Heart Block
EM Daily

Back to Basics: Complete Heart Block

April 16 2018
3rd Degree AV Block/Complete Heart Block No association
Back to Basics: Complete Heart Block
EM Daily

Back to Basics: Complete Heart Block

April 16 2018
3rd Degree AV Block/Complete Heart Block No association
EM Daily

A Week in Review: April 9th - 14th

April 15 2018
Monday: Back to Basics - Hypercalcemia Presentation: malaise
EM Daily

A Week in Review: April 9th - 14th

April 15 2018
Monday: Back to Basics - Hypercalcemia Presentation: malaise
  • First page
  • Previous page
  • …
  • Page 200
  • Page 201
  • Current page 202
  • Page 203
  • Page 204
  • …
  • Next page
  • Last page
Blogs

Hospital Main Number

856.342.2000

Main Hospital Website

COOPERHEALTH.ORG

Cooper Health

Programs

  • Residencies
  • Fellowships
  • Nursing Education
  • Allied Health
  • CME
  • Life Support Training

More from Cooper

  • Research
  • Resident Wellness
  • Medical School
  • Our Campus
  • Main Hospital
  • Privacy Statement
  • FastCommand

1.800.8.COOPER (1.800.826.6737)

Contact Us

Cooper University Health Care's Main Website

This website is for informational purposes only and not intended as medical advice or a substitute for a consultation with a professional healthcare provider.

All content © 2022 Cooper University Health Care.

Menu
Education Home
Health System Home
Search

Main Navigation

  • RESIDENCIES
  • FELLOWSHIPS
  • NURSING AT COOPER
  • RESEARCH
  • INNOVATION CENTER

Tired of Typing? Let's Talk.

Call 1.800.8.COOPER to speak with a Cooper representative who can answer your questions, schedule appointments and register you for classes, events and support groups.

Representatives are available Monday through Friday from 8 a.m. - 5 p.m. to assist you.

Enter your phone number below and we will connect you for free.