Skip to main content
Home
Menu

Search Cooper


Popular Terms and Topics

  • Internal Medicine Residency
  • Surgical Critical Care Fellowship
  • Gastroenterology Fellowship
  • Neurology Residency
  • Cooper Research
Breadcrumb
Home  /   Med Ed Blogs
What's the Diagnosis?  By Dr. Erica Schramm
EM Daily

What's the Diagnosis? By Dr. Erica Schramm

July 12 2017
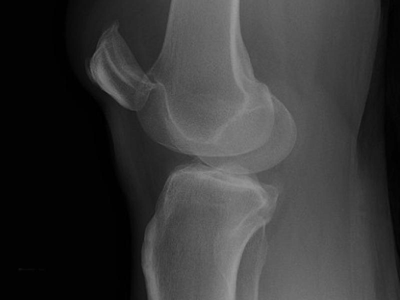
A 40 year old female presents with right knee pain after she
Studer: What's Right In Healthcare 2017
Connect the Docs

Studer: What's Right In Healthcare 2017

July 11 2017
Cooper will be presenting this poster about our
Connect the Docs

Positive Feedback From Patients-2nd Quarter 2017

July 11 2017
Kudos to our Providers and their hard work Click on the link
EM Daily

The Myth of Dry Drowning

July 11 2017
First, there is no such thing as "dry drowning." The use of
EM Daily

The Myth of Dry Drowning

July 11 2017
First, there is no such thing as "dry drowning." The use of
Congratulations to Dr. Abujudeh
Connect the Docs

Congratulations to Dr. Abujudeh

July 10 2017
He has published his 4th book in the field of Radiology
Back to Basics: Is that Amniotic Fluid?
EM Daily

Back to Basics: Is that Amniotic Fluid?

July 10 2017
Case : A pregnant female presents with "damp" underwear upon
Back to Basics: Is that Amniotic Fluid?
EM Daily

Back to Basics: Is that Amniotic Fluid?

July 10 2017
Case : A pregnant female presents with "damp" underwear upon
A Week in Review: July 3 - 7th
EM Daily

A Week in Review: July 3 - 7th

July 09 2017
Monday: Back to Basics - Mysterious Arm Mass What is a
A Week in Review: July 3 - 7th
EM Daily

A Week in Review: July 3 - 7th

July 09 2017
Monday: Back to Basics - Mysterious Arm Mass What is a
  • First page
  • Previous page
  • …
  • Page 255
  • Page 256
  • Current page 257
  • Page 258
  • Page 259
  • …
  • Next page
  • Last page
Blogs

Hospital Main Number

856.342.2000

Main Hospital Website

COOPERHEALTH.ORG

Cooper Health

Programs

  • Residencies
  • Fellowships
  • Nursing Education
  • Allied Health
  • CME
  • Life Support Training

More from Cooper

  • Research
  • Resident Wellness
  • Medical School
  • Our Campus
  • Main Hospital
  • Privacy Statement
  • FastCommand

1.800.8.COOPER (1.800.826.6737)

Contact Us

Cooper University Health Care's Main Website

This website is for informational purposes only and not intended as medical advice or a substitute for a consultation with a professional healthcare provider.

All content © 2022 Cooper University Health Care.

Menu
Education Home
Health System Home
Search

Main Navigation

  • RESIDENCIES
  • FELLOWSHIPS
  • NURSING AT COOPER
  • RESEARCH
  • INNOVATION CENTER

Tired of Typing? Let's Talk.

Call 1.800.8.COOPER to speak with a Cooper representative who can answer your questions, schedule appointments and register you for classes, events and support groups.

Representatives are available Monday through Friday from 8 a.m. - 5 p.m. to assist you.

Enter your phone number below and we will connect you for free.