Skip to main content
Home
Menu

Search Cooper


Popular Terms and Topics

  • Internal Medicine Residency
  • Surgical Critical Care Fellowship
  • Gastroenterology Fellowship
  • Neurology Residency
  • Cooper Research
Breadcrumb
Home  /   Med Ed Blogs
Mysterious Arm Mass
EM Daily

Mysterious Arm Mass

July 03 2017
On a recent shift, one of my colleagues fielded a call from
A Week in Review
EM Daily

A Week in Review

July 02 2017
Tuesday: Advanced Practice - The Sphenopalantine Block
A Week in Review
EM Daily

A Week in Review

July 02 2017
Tuesday: Advanced Practice - The Sphenopalantine Block
NJ Opioid Educational Module offering on the CLN
Connect the Docs

NJ Opioid Educational Module offering on the CLN

June 30 2017
What's the Diagnosis? (the Critical Care edition) Case by Dr. Kim Chavez
EM Daily

What's the Diagnosis? (the Critical Care edition) Case by Dr. Kim Chavez

June 30 2017
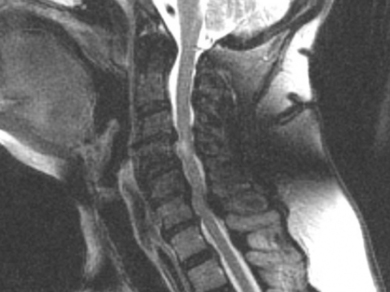
A 78-year old female presents to the ED after a fall face
What's the Diagnosis? (the Critical Care edition) Case by Dr. Kim Chavez
EM Daily

What's the Diagnosis? (the Critical Care edition) Case by Dr. Kim Chavez

June 30 2017
A 78-year old female presents to the ED after a fall face
EM Daily

#EMconf: Phenytoin: Friend or Foe?

June 29 2017
Phenytoin (Dilantin) is a second line therapy for the
EM Daily

#EMconf: Phenytoin: Friend or Foe?

June 29 2017
Phenytoin (Dilantin) is a second line therapy for the
What's the Diagnosis?  By Dr. Lauren Murphy
EM Daily

What's the Diagnosis? By Dr. Lauren Murphy

June 28 2017
A 63yo female with a history of gallstones presents with
What's the Diagnosis?  By Dr. Lauren Murphy
EM Daily

What's the Diagnosis? By Dr. Lauren Murphy

June 28 2017
A 63yo female with a history of gallstones presents with
  • First page
  • Previous page
  • …
  • Page 257
  • Page 258
  • Current page 259
  • Page 260
  • Page 261
  • …
  • Next page
  • Last page
Blogs

Hospital Main Number

856.342.2000

Main Hospital Website

COOPERHEALTH.ORG

Cooper Health

Programs

  • Residencies
  • Fellowships
  • Nursing Education
  • Allied Health
  • CME
  • Life Support Training

More from Cooper

  • Research
  • Resident Wellness
  • Medical School
  • Our Campus
  • Main Hospital
  • Privacy Statement
  • FastCommand

1.800.8.COOPER (1.800.826.6737)

Contact Us

Cooper University Health Care's Main Website

This website is for informational purposes only and not intended as medical advice or a substitute for a consultation with a professional healthcare provider.

All content © 2022 Cooper University Health Care.

Menu
Education Home
Health System Home
Search

Main Navigation

  • RESIDENCIES
  • FELLOWSHIPS
  • NURSING AT COOPER
  • RESEARCH
  • INNOVATION CENTER

Tired of Typing? Let's Talk.

Call 1.800.8.COOPER to speak with a Cooper representative who can answer your questions, schedule appointments and register you for classes, events and support groups.

Representatives are available Monday through Friday from 8 a.m. - 5 p.m. to assist you.

Enter your phone number below and we will connect you for free.