Skip to main content
Home
Menu

Search Cooper


Popular Terms and Topics

  • Internal Medicine Residency
  • Surgical Critical Care Fellowship
  • Gastroenterology Fellowship
  • Neurology Residency
  • Cooper Research
Breadcrumb
Home  /   Med Ed Blogs
EM Daily

A Week in Review: Nov 21st-Nov 26th

November 27 2016
When evaluating a patient for thyroid storm, factors
EM Daily

A Week in Review: Nov 21st-Nov 26th

November 27 2016
When evaluating a patient for thyroid storm, factors
Orthopedic Injuries Around the NFL: Tony Romo's Lumbar Spine Compression Fracture
EM Daily

Orthopedic Injuries Around the NFL: Tony Romo's Lumbar Spine Compression Fracture

November 26 2016
During a preseason exhibition game of this NFL season
Orthopedic Injuries Around the NFL: Tony Romo's Lumbar Spine Compression Fracture
EM Daily

Orthopedic Injuries Around the NFL: Tony Romo's Lumbar Spine Compression Fracture

November 26 2016
During a preseason exhibition game of this NFL season
Does Sux Suck for Kids? Succinylcholine in the Pediatric Patient.
EM Daily

Does Sux Suck for Kids? Succinylcholine in the Pediatric Patient.

November 25 2016
Does Sux Suck for Kids? Succinylcholine in the Pediatric Patient.
EM Daily

Does Sux Suck for Kids? Succinylcholine in the Pediatric Patient.

November 25 2016
EM Daily

Happy Thanksgiving!

November 24 2016
Thank you to all providers of Emergency Medicine for being
EM Daily

Happy Thanksgiving!

November 24 2016
Thank you to all providers of Emergency Medicine for being
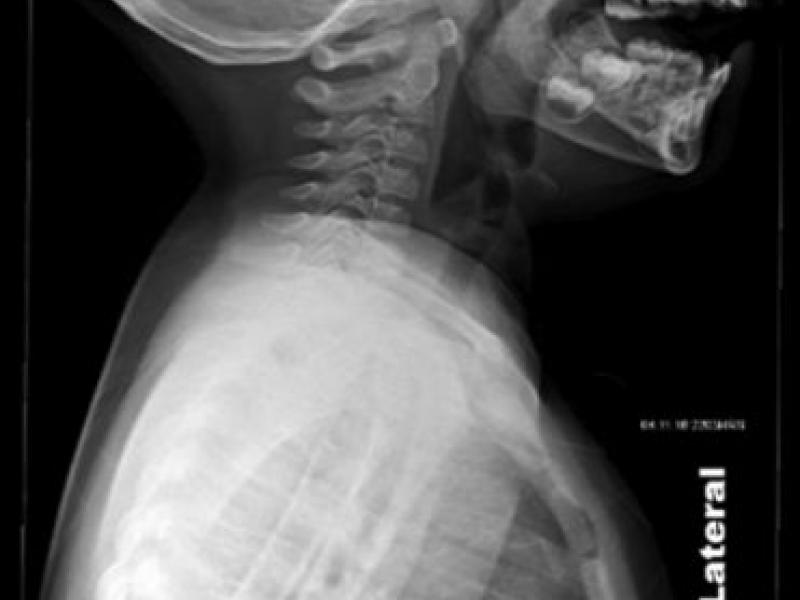
Imaging Case: 8 Year Old Girl with Shortness of Breath
EM Daily

Imaging Case: 8 Year Old Girl with Shortness of Breath

November 23 2016
Case: An 8 year old girl presents to the Emergency
Imaging Case: 8 Year Old Girl with Shortness of Breath
EM Daily

Imaging Case: 8 Year Old Girl with Shortness of Breath

November 23 2016
Case: An 8 year old girl presents to the Emergency
  • First page
  • Previous page
  • …
  • Page 300
  • Page 301
  • Current page 302
  • Page 303
  • Page 304
  • …
  • Next page
  • Last page
Blogs

Hospital Main Number

856.342.2000

Main Hospital Website

COOPERHEALTH.ORG

Cooper Health

Programs

  • Residencies
  • Fellowships
  • Nursing Education
  • Allied Health
  • CME
  • Life Support Training

More from Cooper

  • Research
  • Resident Wellness
  • Medical School
  • Our Campus
  • Main Hospital
  • Privacy Statement
  • FastCommand

1.800.8.COOPER (1.800.826.6737)

Contact Us

Cooper University Health Care's Main Website

This website is for informational purposes only and not intended as medical advice or a substitute for a consultation with a professional healthcare provider.

All content © 2022 Cooper University Health Care.

Menu
Education Home
Health System Home
Search

Main Navigation

  • RESIDENCIES
  • FELLOWSHIPS
  • NURSING AT COOPER
  • RESEARCH
  • INNOVATION CENTER

Tired of Typing? Let's Talk.

Call 1.800.8.COOPER to speak with a Cooper representative who can answer your questions, schedule appointments and register you for classes, events and support groups.

Representatives are available Monday through Friday from 8 a.m. - 5 p.m. to assist you.

Enter your phone number below and we will connect you for free.